Медицински изследвания

АКЦЕНТИ ОТ РУБРИКА ЕНДОСКОПСКО ИЗСЛЕДВАНЕ

Всички

АКТУАЛНО ОТ РУБРИКА ЕНДОСКОПСКО ИЗСЛЕДВАНЕ

АКЦЕНТИ ОТ РУБРИКА ОБРАЗНА ДИАГНОСТИКА

Всички

АКТУАЛНО ОТ РУБРИКА ОБРАЗНА ДИАГНОСТИКА

АКЦЕНТИ ОТ РУБРИКА РАДИОИЗОТОПНО ИЗСЛЕДВАНЕ (СЦИНТИГРАФИЯ)

Всички

АКТУАЛНО ОТ РУБРИКА РАДИОИЗОТОПНО ИЗСЛЕДВАНЕ (СЦИНТИГРАФИЯ)

АКЦЕНТИ ОТ РУБРИКА ФУНКЦИОНАЛНИ ИЗСЛЕДВАНИЯ

Всички

АКТУАЛНО ОТ РУБРИКА ФУНКЦИОНАЛНИ ИЗСЛЕДВАНИЯ

ВСИЧКИ СТАТИИ

ЯМР на рамо

ЯМР на рамо

MRI е отличен избор за изследване на раменната става. Чрез изследването се получават ясни изображени...

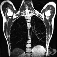
ЯМР на таз

ЯМР на таз

Ядрено магнитния резонанс на таза е нерентгенов метод за послойно изобразяване на органите и структу...

© 2007 - 2026 Аптеки Фрамар. Всички права запазени! Framar.bg във Facebook