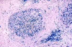
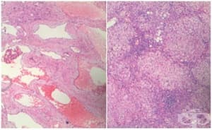
Клинична патология на хемангиом на черния дроб
Хемангиомите са доброкачествени, хиперваскуларни, венозни малформации, които се появяват в черния др...
Прочети повечеХемангиомите са доброкачествени, хиперваскуларни, венозни малформации, които се появяват в черния др...
Прочети повечеКлиничната патология има за цел изучаване на морфологичния субстрат на клинично обособените нозологични единици - болестите. В днешно време в патологията намират приложение редица нови модерни методи за изследване и диагностика, които позволяват проучването на морфологичния субстрат да стане не само на клетъчно и субклетъчно, но и на молекулно ниво. Обект на изследване и диагностика са клинично обособените нозологични единици - болестите, при които без патоморфологично изследване е невъзможно да...
Прочети повечеОбщата патология е отрасъл на медицинската наука, който се отнася главно до причината, произхода и природата на болестта. Тя е фундаментална дисциплина, чийто предмет е проучването на патологичните процеси и реакции на организма спрямо действието на различни патогенни фактори. Тези проучвания позволяват откриване на нови патологични процеси в етиологията, патогенезата и морфогенезата на дадено заболяване. Патологията (от гръцките корени на патос, което означава опит или страдание , и -logia, и...
Прочети повече
Патология (от гръцки pathos – страдание, болка и logos - учение) е наука, която изучава болестните процеси в организма и причинените от тях структурни и функционални промени. Използвайки разнообразни методи, тя изследва морфологията на болестния процес на органно, тъканно и клетъчно ниво. Като медицинска наука тя води своето начало още от древността.
Първите сведения за интереса на древните лекари към анатомията на човешкото тяло датират около 2000 години преди новата ера. Желанието да разкрият тайните на човешкото тяло и организъм са основният им мотив, за да пристъпят към аутопсия на починалите. Древните египтяни са познавали добре анатомията на човешкото тяло, на тях принадлежи и най-стария документ Smith Papyrus в, който Имхотеп описва рака, след това Вавилонския модел на черен дроб на, който е описана лобуларната му структура.
Херофил и Еразистрат са първите в древна Гърция които извършват аутопсия на хора. В древен Рим, Гален за първи път описва 7 от 12 чифта черепномозъчни нерви. Особена заслуга за натрупване на анатомични познания има Леонардо да Винчи, който сам извършва над 30 аутопсии, като остава множество скици на редица органи.
През XVI - XVII век са извършени първите публични аутопсии на човешки трупове, за тази цел са създадени и първите анатомични театри. През 1542 година Fernel въвежда за пръв път термините физиология и патология, за което се смята за първия патолог. През 1761 год. Джовани Балиста Моргани публикува за първи път научния труд "За местонахождението и причините на болестите", този труд е бил написан въз основа на 700 аутопсии, когато той е бил на 79 годишна възраст. Проф. Карл Рокитански се счита за патолог, който е извършил най-много аутопсии, 25000.
Новият етап в развитието на патологията започва по времето на Шван и Шлайден, когато създават класическия микроскоп. Особено място в историята на патологията заема немския патолог Рудолф Вирхов, който е автор на капиталния труд "Клетъчна патология "- 1858 год.
Патологичната анатомия води началото си в България непосредствено след освобождаването от турско робство. Създадената по това време Александровска болница разкрива първото патологоанатомично отделение.