Рентгеново изследване на бял дроб
› В кои случаи се препоръчва провеждането на изследването?
› Необходима ли е предварителна подготовка?
› Метод на провеждане на изследването
› Какво ще усещате по време на изследването?
› Има ли рискове от провеждането на изследването?
› Резултати от проведеното изследване
› Кога не трябва да провеждате изследването?
Въведение
Рентгеновото изследване има голямо, а в някои случаи решаващо значение при диагностика на заболяванията на дихателната система.
Високата информативност и достъпност, относително ниската себестойност, малкото лъчево натоварване и възможността за повторяемост, определят честото използване на рентгенографията при диагностициране и проследяване хода на много заболявания на белите дробове.
В кои случаи се препоръчва провеждането на изследването?
Рентгенография на гръден кош е първото средство на избор за диагностициране в следните случаи:
- Кръвохрак
- Кашлица
- Промяна в характера на хронична кашлица
- Неясна гръдна болка
- Задух
- Данни за възпалителен процес
- Наранявания на гръден кош
- Съмнение за инхалирано чуждо тяло
Необходима ли е предварителна подготовка?
За изследването не се изисква специална предварителна подготовка.
Непосредствено преди рентгенографията ще трябва да се съблечете в специално обособено за целта помещение.
Необходимо е да отстраните всички бижута, очила и всякакви метални предмети или дрехи, които могат да попречат на рентгеновото изображение.
При наличие на пиърсинг или предишна операция на гърдите трябва да уведомите рентгенолога.
Жените винаги трябва да съобщават при установена или предполагаема бременност, когато им предстои рентгеново изследване.
Метод на провеждане на изследването
Рентгенографиите се правят в рентгеново отделение или кабинет. Изследването се извършва от рентгенов лаборант, а разчитането на графията от специалист рентгенолог.
Обзорната рентгенография на бял дроб се прави в две проекции - лицева и странична. Снимките се правят в право положение в инспириум и със задно-предна посока на лъчите.
Пациентът стои прав допрял гърдите и раменете си до статива. Рентгеновата тръба е на 1,5-2 метра зад гърба му. Излъчените от нея лъчи достигат до пациента, част от тях се поглъщат или разсейват от тялото му, а преминалите осветяват филма.
За извършването на снимката се изисква пациентът да поеме дълбоко въздух и да задържи. Поемането на въздух сваля надолу диафрагмалните куполи и така по-голяма част от белите дробове става видима. Пациентът е опрял гърба на китките на хълбоците си и е издал лактите напред (както при игра на хоро). Това, както и издадените напред рамене спомагат лопатките да се отместят настрани и нагоре, за да не засенчват белодробните полета. Важно е да останете неподвижни по време на изследването, тъй като всяко движение може да повлияе качеството на снимката.
Ренгенография на бял дроб от легнало положение се използва по-рядко, обикновено при тежко болни пациенти, които не могат да бъдат изправени или транспортирани до рентгеновото отделение. Извършват се с преносими рентгенови апарати в болничните стаи. Пациентът лежи на леглото си върху касетата с рентгеновия филм под гърба му. При регистрирането на рентгенографии в болничните стаи неспешният медицински персонал напуска стаята, за да избегне страничното облъчване.
Освен лицевата и страничната проекция при нужда от изясняване на състоянието могат да се приложат и други центражи – в коси проекции и в различно положение на болния (прицелни рентгенографии)
- Прав - лява и дясна коси проекции. Позволяват визуализиране на плеврални задебеления, сърдечните контури и пулмонални лезии видими лошо на лицева проекция и невидими на странична.
- Легнало странично положение с хоризонтален ход на лъчите - образът е като на лицева рентгенография. Така се виждат малки плеврални изливи.
- В експириум - може да се установи малък пневмоторакс, тъй като малкото количество свободен въздух в плевралната кухина ще я отдалечи от стената.
- В хиперлордоза
Какво ще усещате по време на изследването?
Рентгеновото изследване е безболезнена процедура. Възможно е да изпитате дискомфорт от по-ниската температурата в помещението. Хората с артрит или травми на гръдната стена, раменете или ръцете може да почувстват дискомфорт при опит да заемат правилната позиция, необходима за изследването. Лаборантът ще Ви помогне в намирането на най-удобната позиция, така че да не се промени качеството на изображението.
Има ли рискове от провеждането на изследването?
Рентгеновите лъчи, както и другите йонизиращи лъчи са вредни. Желателно е излагането на радиация да се намали, да се извършва само когато е необходимо и когато предимствата са повече от риска. Желателно е да се ограничава броя на графиите и да се правят по-малко повторни рентгенови изследвания. За намаляване на облъчването се използват и специални техники.
Преди изследването:
- Информирайте Вашия лекар за всички рентгенови изследвания, които са Ви направени във връзка със заболяването.
- Изискайте защита на лъчечувствителните органи, особено при децата.
- Предупредете лекаря, ако има вероятност да сте бременна.
- Ако придружавате Ваш близък, не стойте в рентгеновия кабинет по време на изследването.
При снимка на бели дробове пациента трябва да бъде предпазен със специална престилка, която се слага от кръста надолу, за да се защитят от облъчване репродуктивните органи. При радиационно облъчване се повишава генетичният риск, ето защо лекарят трябва да осъществява контрол, както и да прецени отношението полза-риск.
Желателно е по време на бременност да се избягват рентгенови изследвания в областта на таза и корема. Зародишът и плодът са много по-чувствителни към облъчването, отколкото възрастните. Съществува риск от възникване на спонтанен аборт, малформации, забавяне на развитието или злокачествено образувание при бъдещото дете. Рискът зависи от стадия на бременността, дозата и вида на изследването.
Трябва да се има предвид, че при рентгенографии на главата, гръдния кош и крайниците, когато плодът не е пряко облъчван, рискът ще бъде много по-малък. При провеждане на изследването рентгенологът трябва да осигури предпазно облекло, с което да се покрие таза. Когато рентгеновото изследване е наложително, лекарят ще Ви обясни алтернативите и потенциалния риск.
Резултати от проведеното изследване
За правилното интерпретиране на резултатите от снимката, трябва да се прецени възрастта на пациента, позицията на тялото, фазата на дишане, в която е направена графията и техническите й параметри.
Рентгенографията на бял дроб дава възможност да се оценят всички структури, които изграждат гръдната клетка (кости и меки тъкани, съдови структури, белодробен паренхим, плеври и диафрагми).
След като те бъдат анализирани е необходимо съсредоточаване към определен тип болестен процес, свързан с първоначалната клинична диагноза.
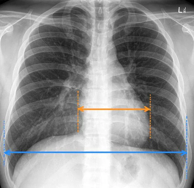
Кардио-торакален индекс KTИ - При рентгенография на бял дроб може да се измери кардиоторакалното съотношение и да се определи кардио-торакален индекс. Той показва съотношението на максималния хоризонтален диаметър на сърцето към максималния хоризонтален диаметър на гръдния кош.
Нормалните стойносто на КТИ са под 0,50 (между 0,42 и 0,50). Измерване под 0,42 обикновено се счита за патологично. Измерване над 0,50 обикновено се приема за анормално, въпреки че някои рентгенолози смятат, че измервания до 0,55 са „гранични“.

Резултати в норма:
За правилния анализ и тълкуване на рентгеновата находка при различните заболявания на дихателната система е необходимо доброто познаване на рентгеновия образ на нормалния гръден кош.
Гръдния кош дава сложна сянка, която е сбор от сенките на гръдната стена - предна и задна - и сенките на белия дроб.
При лицево рентгеново изследване сенките на белодробните полета са разположени от двете страни на сянката на средостението, която е силна и дава възможност да се получи силен контраст. Белодробните полета имат форма на неправилни триъгълници, върховете, на които сочат нагоре.
Сянка на белия дроб - Тя е слаба, почти еднородна и има характерен строеж. Структурата на белодробните полета се обуславя преди всичко от кръвоносните съдове, главно от разклоненията на пулмоналната артерия и белодробните вени. Техните сенки, имащи характер на дървовидни разклонения, изхождащи радиерно от хилуса на дроба към периферията му, са силни и изпъкват на фона на слабата сянка на белодробното поле. Към периферните части на дроба сенките на дървовидните разклонения стават по-тесни, по-нежни и изчезват съвсем на около 2 см от периферията.
Лимфните съдове, бронхиалното дърво и съединителната тъкан дават по слаби сенки. При нормални условия те почти не вземат участие в белодробната структура.
Хилусни сенки - Хилус е мястото, където структури, като кръвоносни съдове и нерви, навлизат в даден орган. Хилусните сенки са силни сенки в медиалните дялове (средната част) на белодробните полета на височина от 2-ро до 4-то ребро и са с продълговата форма. Много болестни процеси засягат именно хилусите, така че познаването на нормалния им рентгенов вид е важно. И двата хилуса трябва да са с подобен размер и плътност и в правилна позиция. Нормално левият хилус е малко по-висок от десния. Ако единия хилус е по-голям, с по-голяма плътност от нормалното или позицията му е променена, това може да показва аномалия. Въпреки че хилусните лимфни възли нормално не се дават значителна сянка на рентгеновата снимка на бял дроб, те са от особено клинично значение. Често уголемяването на хилусите се дължи на уголемяването на тези лимфни възли.

Сърдечна сянка - Представлява образът на сърцето и големите кръвоносни съдове върху рентгеновата снимка. Тъй като сърцето е плътен орган, на снимката изглежда като светло петно на фона на тъмните бели дробове. Нормалната сърдечна сянка на рентгенография на гръдния кош показва остър, добре дефиниран силует, като размерът на сърцето заема по-малко от 50% от максималния диаметър на гръдния кош (кардиоторакално съотношение КТИ по-малко от 0,5) на рентгенова снимка. Дясната граница се образува от дясното предсърдие, а лявата - от лявата камера. Когато резултатите не показват изменения в размера и положението на сърцето в разчитането обикновено се посочва, че е в норма или без особености (б.о.) - сърдечна сянка в норма, сърдечно-съдова сянка б.о., срединно разположена.
Диафрагмални куполи - Нормалната диафрагма на рентгенова снимка на гръдния кош изглежда като два ясно изразени, гладки проследими дифрагмални куполи с резки очертания. Те разделят пълните с въздух бели дробове (по-тъмни) от коремните органи (по-светли). Нормално границата трябва да е ясна и добре очертана. Дясната страна на диафрагмата нормално е по-високо разположена от лявата поради черния дроб.
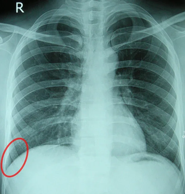
Костно-диафрагмалните синуси (КДС, КД синуси, recessus costodiaphragmaticus) - Това са най-ниско разположените части на плевралната кухина, където ребрената плевра преминава в диафрагмалната плевра. Те се намират в най-долната част на гръдния кош, между ребрата и купола на диафрагмата. Коагто са в норма на рентгенова снимка, тези синуси изглеждат като остри ъгли. Ако ъгълът е заоблен или липсва, това често е признак за патологичен процес. Свободните синуси (свободни КДС) са нормална находка, показваща, че няма събрана течност или сраствания.

Отклонения от нормата:
Болестите на дихателната система дават голямо разнообразие от рентгеноморфологични и рентгенофункционални симптоми, които са израз на настъпилите болестни изменения в белия дроб.
На рентгеновата снимка при белодробните заболявания трябва да се отчитат промените в големината, формата и прозрачността на белодробните полета.
Общото уголемяване на гръдния кош се наблюдава при белодробен емфизем, при двустранен плеврален излив или пневмоторакс.
Общо умаляване на двете белодробни полета се среща при двустранни плеврални страствания, фиброзни и циротични процеси.
Уголемяване на едната гръдна половина може да настъпи при едностранен пневмоторакс и плеврален излив, едностранен емфизем, голям тумор.
Умаляване на едната гръдна половина се наблюдава при плеврални страствания, ателектаза на единия бял дроб, при едностранна цироза.
Патологичните сенки в гръдния кош се делят на две основни групи: силни и слаби.
По форма силните сенки могат да бъдат: петнисти, кръгли, триъгълни, ивицести, неправилни и други.
Петнисти сенки
Петнистите сенки се наблюдават и единично, но най-често са множествени, разпръснати по едното или двете белодробни полета.
- Срещат се най-често при инфекциозни заболявания на белия дроб, които засягат интерстициума.
- Друга възможна причина е наличието на туморни метастази.
Според големината си петнистите сенки се делят на:
- Дребнопетнисти - наблюдават се при милиарна туберкулоза, силикатоза.
- Среднопетнисти - наблюдават се при хронична белодробна туберкулоза, бронхопневмония.
- Едропетнисти - може да се наблюдават при наличието на туморни метастази, някои форми на туберкулоза, бронхопневмония.
Кръгли сенки
Кръглите сенки се наблюдават при:
- доброкачествени тумори (хамартом, липом, фибром),
- периферен карцином,
- кистозна формация (ехинококова киста, бронхогенна киста).
Липсата на промяна в големината на туморното образувание за повече от 6 месеца говори за доброкачественост.
Триъгълни сенки

Триъгълните сенки представляват участъци от белия дроб, които са с повишена плътност и не съдържат въздух.
Триъгълни сенки на рентгенография се срещат при следните заболявания:
- белодробен инфаркт,
- при сегментна пневмония,
- интерлобарен плеврит,
- други белодробни болести.
Ивицести сенки
Ивицестите сенки са честа находка. Срещат се при:
- уплътнение на интерстициалната тъкан с различна етиология,
- при застоен бял дроб,
- плеврални страствания.
Сраствания от предходни инфекции или белодробен инфаркт са честа причина за появата на ивицести сенки.
Слабите еднородни сенки могат да бъдат разпространени и ограничени. Те се обуславят от увеличението на въздушното съдържание в дроба, намаление на белодробния паренхим, наличието на мехури и кухини.
Двете белодробни полета дават общо слаба сянка при емфизем, вследствие на намаляване на белодробния паренхим от раздуването на алвеолите.
Белодробните кисти, туберкулозните каверни, абсцесите, бронхиектазиите дават ограничени слаби сенки, които най-често са с кръгла или овална форма.
Разбира се патологичните сенки трябва да бъдат анализирани и по отношение на тяхната локализация, очертания, строеж, количество.
Нееднородните сенки, наречени още сложни сенки, се срещат твърде често. Те са комбинация от силни и слаби сенки с най-различен характер.
Понякога патологичните процеси са сложни, като включват в себе си силни и слаби участъци. Когато на дъното на кухината се набере течност се получава хидро-аерична сянка. Долната част на тази сянка е силна (от течността), а горната - слаба (от газовото съдържимо). Нивото на течността при различни положения на болния остава винаги хоризонтално. Хидро-аерична сянка се наблюдава при белодробен абсцес.
Пръстеновидните сенки очертават окръглено просветление (слаба кръгла сянка). Виждат се при каверна, разпаднал тумор, разпаднала метастаза, кистозна формация, бронхиектазии.
Кога не трябва да провеждате изследването?
Бременността е единственото противопоказание за извършване на рентгенография. Детето в утробата на майката е десетки пъти по-чувствително към рентгеновото облъчване, отколкото възрастният човек.
Заболявания, при които се прилага Рентгеново изследване на бял дроб
Продукти свързани със СТАТИЯТА
АНДРОГРАФИС капсули * 60 NATURE'S WAY
БРОНХОЛАЙН сироп 250 мл
ДОКТОР'С БЕСТ УЛТРА КОРДИЦЕПС капсули 750 мг * 60
НУТРИНИТИ ЛАБС ВИТАМИН A 300 мкг 1000 IU 30 мл
ВАРИТЕКС КОРСЕТ ЗА ГРЪДЕН КОШ модел 137
ДЖЕНОМИКС ОНКО СИЙК ТЕСТ ЗА РАННО ОТКРИВАНЕ НА РАКОВИ ЗАБОЛЯВАНИЯ
Не се предлага с наложен платеж Безплатна доставка за България!Библиография
https://www.radiologymasterclass.co.uk/tutorials/chest/chest_home_anatomy/chest_anatomy_page2
https://epomedicine.com/medical-students/chest-xray-approach-to-hilum/
https://en.wikipedia.org/wiki/Costodiaphragmatic_recess
https://radiopaedia.org/articles/cardiothoracic-ratio
https://radiopaedia.org/articles/chest-pa-view-1?lang=us
https://radiopaedia.org/articles/cardiac-silhouette
СТАТИЯТА е свързана към
- Инструментални изследвания
- Образна диагностика
- Рентгенови изследвания (без и с контрастно вещество)
- Без контраст
- КП № 46 ЛЕЧЕНИЕ НА ДЕКОМПЕНСИРАНА ХРОНИЧНА ДИХАТЕЛНА НЕДОСТАТЪЧНОСТ ПРИ БОЛЕСТИ НА ДИХАТЕЛНАТА СИСТЕМА В ДЕТСКА ВЪЗРАСТ
- Изследване на кортизол в кръвта
- Д-р Ирина Стоименова Якова
- Проба на Манту (Туберкулинов кожен тест)
- Пречистване на организма след излагане на радиация
- Изследване на осмоларитета на урината
- Ходжово лале, Императорска ведрица
- Детоксикация на белия дроб по естествен път
- Компютърна томография (КТ) на корем
- Електрокардиограма (ЕКГ)
Коментари към Рентгеново изследване на бял дроб
-
www.framar.bg отговаря
-
Силвия Петкова
-
www.framar.bg отговаря
-
Мартин Атанасов
-
www.framar.bg отговаря
-
Анонимен
-
www.framar.bg отговаря
-
Ива Спасова
-
www.framar.bg отговаря
-
Гинка Милкова
Зареждане на още 10 коментараСилвия Петкова
Здравейте, направиха ми рьография на белия дроб в 5 г.с., а аз в 6 г.с разбрах, че съм бременна. Казах на гинеголога ми, той е на мнение, че трябва да направя аборт. Вашето мнение какаво е ?
Здравейте! Високи дози радиация в първите осем седмици след зачеването са неблагоприятни за бременността, но решението за нейното прекъсване е много специфично, поради което е препоръчително да потърсите второ мнение от АГ-специалист.
Здравейте, направиха ми рьография на белия дроб в 5 г.с., а аз в 6 г.с разбрах, че съм бременна. Казах на гинеголога ми, той е на мнение, че трябва да направя аборт. Вашето мнение какаво е ?
Мартин Атанасов
Може ли да ми разчетете резултата? От настоящата проекция нормостатичен гръден кош в състояние на траен инспириум. Диафрагиални куполи без промени в конвекситет и очертания. Свободни кдс. Симехрично просветлени белодробни полета. Усилен петнист рисунък паракардиално към дясна белонробна основа.
Здравейте! За правилно разчитане на рентгенографията трябва допълнителна документална информация за пациента от проведения клиничен преглед. От посоченото от вас може да се предположи, че в дясна белодробна основа в близост до сърцето има възпалителен или друг процес, чието естество трябва да се установи от лекуващия лекар.
Може ли да ми разчетете резултата? От настоящата проекция нормостатичен гръден кош в състояние на траен инспириум. Диафрагиални куполи без промени в конвекситет и очертания. Свободни кдс. Симехрично просветлени белодробни полета. Усилен петнист рисунък паракардиално към дясна белонробна основа.
Анонимен
Здравейте, нормално ли е от ренгеновия кабинет да ми кажат, че на снимката се вижда сянка и е началото на пневмония, а лекарят да ми каже, че сянката е \"от размера на гърдите ми\"? Коментара е от д-р Пеев, ДКЦ 1, Велико Търново (да е ясно на всички кой е и да преценят дали да го посещават).
Здравейте! Потърсете трето мнение.
Здравейте, нормално ли е от ренгеновия кабинет да ми кажат, че на снимката се вижда сянка и е началото на пневмония, а лекарят да ми каже, че сянката е \"от размера на гърдите ми\"? Коментара е от д-р Пеев, ДКЦ 1, Велико Търново (да е ясно на всички кой е и да преценят дали да го посещават).
Ива Спасова
Днес ми правиха рентгенова снимка Нормално структурирани хилуси. Белодробният паренхим е нормалнопневматизиран с липса на оформени инфилтративни фокуси и огнищни лезии. Не се визуализира преврален излив. Сърдечна сянка нормално конфигурираналекостепенно уголемена с мнение за ехокардиография. В момента съм с кашлица и сополи. И пия Азитрокс.
Здравейте! Получените резултати от рентгеновото изследване се обсъждат с рентгенолога, след което се предоставят на лекуващия лекар.
Днес ми правиха рентгенова снимка Нормално структурирани хилуси. Белодробният паренхим е нормалнопневматизиран с липса на оформени инфилтративни фокуси и огнищни лезии. Не се визуализира преврален излив. Сърдечна сянка нормално конфигурираналекостепенно уголемена с мнение за ехокардиография. В момента съм с кашлица и сополи. И пия Азитрокс.
Гинка Милкова
Какво означава резултатът от снимка на бял дроб Ето и резултата бели дробове при клинични данни възпалителен процес в лява белодробна основа Това пневмония ли?
Здравейте! Възпалителен процес е общ термин и невинаги означава пневмония. Необходимо е да обсъдите получените резултати с лекуващия си лекар.
Какво означава резултатът от снимка на бял дроб Ето и резултата бели дробове при клинични данни възпалителен процес в лява белодробна основа Това пневмония ли?