Тумори на клетките на нервните обвивки
Тумори на клетките на нервните обвивки произлизат от обвивката около нервите. Те могат да възникнат от всеки нерв в тялото, включително черепномозъчни нерви, гръбначномозъчни нерви и периферни нерви. Тумори на клетките на нервните обвивки могат да бъдат доброкачествени или злокачествени.
Тумори на клетките на нервните обвивки са най-често срещаните тумори, представляващи 8% от всички първични интракраниални тумори и 80% от церебелопонтинните ъглови лезии. Те обикновено присъстват в средна възраст (40-50 години) и се срещат по- често при жените. Двустранните шванмоми се срещат при 5% от пациентите и са характерни за неврофиброматоза тип 2.
Те са доброкачествени, бавно нарастващи тумори, които възникват главно от вестибуларната част на VIII черепномозъчен нерв и лежат под церебелопонтинния ъгъл - клинично оформена област, ограничена от слепоочната кухина, понса и малкия мозък. Рядко тези тумори възникват от V черепномозъчен нерв.
Най-често срещаните видове тумори на клетките на нервните обвивки са шваноми и неврофиброми. При повечето пациенти причината за тези тумори не е известна. Те се наричат спорадични случаи.
Туморите на обвивката на периферните нерви представляват по-голямата част от нервните лезии, възникващи в задния медиастинум. Подобно на симпатиковите нервни тумори, те проявяват спектър на диференциация, варираща от доброкачествени, напълно диференцирани тумори (шваноми) до лезии, съдържащи по-виден фибробластичен компонент (неврофиброми) до напълно злокачествени неоплазми. Тези тумори обикновено засягат възрастни и млади хора на средна възраст и често се срещат на рутинни рентгенови снимки на рак в асимптоматични индивиди. Най-често се наблюдават паравертебрално.
Основните тумори на обвивката на периферния нерв се характеризират с неопластични пролиферации с диференциация на Шванови клетки. Например, Швановата клетка представлява първичен неопластичен клетъчен компонент на неврофибром, характеризиращ се цитологично с вълнообразни ядрени контури и S-100 протеинова експресия. Неврофибромите също включват смес от ненеопластични перифернонервни компоненти, включително аксони, периневрални клетки, фибробласти и променливи възпалителни елементи, като мастни клетки и лимфоцити. В допълнение, присъства популация от CD34 позитивни клетки с неясна хистогенеза.
Неврофибромите са доброкачествени неоплазми с бледобяла, блестяща повърхност, която се вижда при аутопсия (Фигура 1а). Техният модел на растеж е или добре очертан интраневрален (Фигура 1b), или дифузна инфилтрация на меките тъкани на екстраневрални места (Фигура 1с). Те са относително чести, особено при повърхностни кожни участъци, където те се явяват като локализирани, растящи на краче образувания.
Специфичните клиникопатологични подвидове, базирани на моделите на архитектурен растеж, включват локализирани, дифузни и плексиформни неврофиброми. Локализираният кожен неврофибром е най-честият и се среща спорадично в повечето случаи. Локализираните неврофиброми могат да включват и голям нерв и обикновено водят до разширяване на нервния ствол. Дифузните неврофиброми се характеризират с подобно на плака уголемяване, обикновено в областта на главата и шията (Фигура 1d). S100 позитивните псевдомайснерови кръвни телца могат да бъдат изобилни. Повечето неврофиброми се срещат спорадично, въпреки че приблизително 10% в крайна сметка се оказват свързани с неврофиброматоза тип 1.
Плексиформният неврофибром, локализиран в основния нервен ствол и най-рядката форма, масивния неврофибром на меките тъкани почти винаги се свързва с неврофиброматоза тип 1.
Плексиформният неврофибром се дефинира чрез включването на множество съседни нервни съставни части или множество компоненти на нервен плексус (Фигура 2 а, b). Микроскопски плексиформните неврофиброми често показват смес от области, наподобяващи локализирани и дифузни неврофиброми. Плексиформният неврофибром има потенциал за злокачествена дегенерация.
Някои неврофиброми показват необичайни признаци като дегенеративна цитологична атипия (Фигура 2с, d) и/или повишена клетъчност (клетъчна неврофиброма) (Фигура 2е,f). Клетъчните неврофиброми могат да показват умерена клетъчност и по-изразен модел на фасцикуларен растеж, но липсва "монотонна" цитологична атипия, хроматинови аномалии и митотична активност. Клетъчните неврофиброми имат дегенеративна ядрена атипия, съдържаща разпръснати клетки с подчертано уголемени, хиперхроматични ядра. Обаче, те нямат увеличена клетъчност, фасцикуларен растеж или митотична активност. Подобни промени могат да се видят в така наречените "древни шванмоми". Други по-рядко срещани морфологични находки в неврофибромата включват наличието на меланинов пигмент, метапластична кост и жлезиста диференциация. Масивната неврофиброма на меките тъкани, много рядък подтип, се характеризира с голям размер, инфилтрация на меките тъкани и скелетните мускули, често включващи големи анатомични участъци и хистологично демонстриране на наличието на клетъчен компонент. Те могат да съдържат плексиформни компоненти, но обикновено не се подлагат на злокачествена дегенерация.
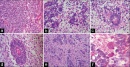
Шваномите са доброкачествени тумори на клетките на нервните обвивки, произлизащи от Швановите клетки. Макроскопският вид е характерен под формата на добре очертани маси (Фигура 3а) с дегенеративни изменения и променлива смес на компактни вретеновидни и хипоклетъчни микроскопични области богати на макрофаги и колагенни влакна (Фигура 3b). Добре образувана колагенна капсула е последователна находка (Фигура 3с), както и хиалинизирани съдове (Фигура 3d). При имунохистохимията шваномите обикновено показват дифузна, силна експресия на S100 протеин (Фигура 3е) и изобилен перицелуларен колаген тип IV (Фигура 3f), в съответствие с наличието на непрекъснат перицелуларен базален ламинат.
Клетъчният шваном, макар и сравнително необичаен, е важен вариант на шваном, тъй като неговата висока целуларност, модел на фасцикуларен растеж, повишена митотична активност и случайно локално деструктивно поведение, включително костна ерозия, често налагат разглеждане на злокачествеността. Клетъчният шиваном се дефинира като шваном, съставен почти изцяло от компактна фасцикуларна пролиферация на добре диференцирани Шванови клетки (Фигура 4а, b). Важни показатели за тази диагноза включват наличието на пенливи хистиоцитни агрегати, добре оформена капсула, съдържаща лимфоидни агрегати и дифузен силен S100 протеин и експресия на перицелуларен колаген IV.
Клетъчните шванмоми нямат злокачествен потенциал за практически цели и никога не метастазират. Локалният рецидив е променлив и може да бъде по-висок, отколкото при конвенционалните шванмоми. Това може да е свързано отчасти с местоположението, като се има предвид склонността към дълбоки анатомични региони, които невинаги са подлежащи на брутна обща резекция. Въпреки това, дори повтарящите се лезии растат бавно и не водят до смърт. Митотичната активност обикновено е по-малко от 5 на 10 полета с висока мощност. Обаче, в редки случаи може да се наблюдава силна митотична активност, дори и над 10 на 10 високоефективни полета.
Плексиформния шваном е отличителен подвид, който обикновено се среща при повърхностни (кожни или подкожни) места и се дефинира от плексиформен (интраневрално-нодуларен) модел на растеж. Тези тумори могат да бъдат по-малко ограничени от конвенционалния шваном или дори да нямат капсула. Неврофиламентните протеинови имунореактивни аксони обикновено се идентифицират в лезията.
По-проблематични са редките плексоформни шванмоми, които възникват в дълбоки анатомични местоположения, в меките тъкани или в основните периферни нерви (Фигура 4с-е), тъй като те могат да покажат повишена клетъчност и митотична активност. Въпреки че тези тумори имат незначителен злокачествен потенциал, локалният рецидив може да бъде относително висок, възникващ в приблизително половината от случаите.
Меланотичният шиваном е рядка, отличителна, потенциално злокачествена неоплазма, характеризираща се с епителиоидни клетки с ядра с променлива големина и изразено натрупване на меланин в неопластични клетки и свързаните меланофаги. Основната диференциална диагноза е с други неоплазми, произвеждащи меланин, по-специално меланом. Наличието на псамомни тела в тези тумори се свързва при приблизително половината от случаите с комплекс на Карни.
Въпреки че повечето шваноми демонстрират класическа хистология, от време на време се срещат любопитни морфологични вариации. Наскоро описаният "ретикуларен" шваном се характеризира с богата миксоидна промяна, микроцисти и с тенденция да възникват във висцералните органи. Рядкото откритие при шваноми включва големи клетъчни палисади, наподобяващи невробластични розетки, псевдожлезисти структури, доброкачествена епителиоидна промяна.
Продукти свързани със СТАТИЯТА
БИОХЕРБА КУДЗУ КОРЕН капсули 350 мг * 100
ВАРИТЕКС СУТИЕН ЗА ГРЪДНА ПРОТЕЗА модел 577
БИОХЕРБА МАЙТАКЕ ЕКСТРАКТ капсули 450 мг. * 100
ЕТЕРИКА ЕТЕРИЧНО МАСЛО ОТ ЗДРАВЕЦ 0.6 мл
КАЛИВИТА БЕТА КАРОТЕН капсули * 100
БИОВЕА РЕСВЕРАТРОЛ таблетки 40 мг * 60
Библиография
Color atlas of pathology, Section Tumor pathology
http://columbiaspine.org/condition/nerve-sheath-tumor/
https://www.sciencedirect.com/topics/medicine-and-dentistry/nerve-sheath-tumor
https://www.ncbi.nlm.nih.gov/pmc/articles/PMC3629555/
http://www.histopathology-india.net/mpnst.htm
СТАТИЯТА е свързана към
- Обща патология
- Тумори
- Тумори на нервната система
- Натурални средства срещу липоми
- Прахан, Праханова гъба
- Ще лекуват рак с нова техника, при която туморите се осветяват
- КП № 245 ДИАГНОСТИКА И КОНСЕРВАТИВНО ЛЕЧЕНИЕ НА ОНКОЛОГИЧНИ И ОНКОХЕМАТОЛОГИЧНИ ЗАБОЛЯВАНИЯ, ВЪЗНИКНАЛИ В ДЕТСКА ВЪЗРАСТ
- Уролозите от ИСУЛ алармират за сериозен ръст на хората с урологични тумори
- КП № 247 БРАХИТЕРАПИЯ С НИСКИ АКТИВНОСТИ
- 8-килограмов тумор извадиха медици от жена в МБАЛ Бургас
- Една от златните рецепти на руската народна медицина: Лечение на тумори с кализия
- 30-сантиметров тумор извадиха лекари от бременна жена
- Алфа интерферон
Коментари към Тумори на клетките на нервните обвивки