Други левкемии с уточнен клетъчен вид МКБ C94

Рубриката други левкемии с уточнен клетъчен вид включва няколко състояния, протичащи с нарушения в диференциацията и пролиферацията на хемопоетичните клетки и наличие на незрели прекурсори и патологични клетки в костния мозък и периферната кръв.
Етиологичните причини за развитието на тази група заболявания могат да се обединят и включват някои провокиращи рискови фактори, като генетична предиспозиция и фамилност, вроден или придобит имунен дефицит, автоимунни и хронични възпалителни заболявания, малигнени хемопатии, вредности от околната среда, лечение с химиотерапевтични средства.
В групата се включват следните състояния:
- Остра еритремия и еритролевкемия: характеризира се с пролиферация на клетките от еритробластен и миелобластен тип. По класификацията FAB се категоризира като остра миелоидна левкемия тип М6, а по последната класификация на СЗО спада към групата ОМЛ, некласифицирани другаде. При повечето пациенти са налице анемия и спленомегалия, които водят до характерни клинични прояви.
- Остра мегакариобластна левкемия: представлява прогресивно заболяване, протичащо с пролиферация на клетките от мегакариоцитната редица. По класификацията на FAB се категоризира като остра миелоидна левкемия тип М7, а според новата класификация на СЗО се причислява към ОМЛ, некласифицирани другаде. Протича с изразена в различна степен панцитопения и миелофиброза.
- Мастоклетъчна левкемия: рядък и изключително агресивен подтип на остра миелоидна левкемия, при който неопластичните клетки съставляват около 20 % от клетките в костния мозък и 10% от клетките в циркулиращата кръв. Протича с изразен астено адинамичен синдром, неврологични нарушения, органомегалия и лимфаденомегалия.
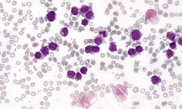
Диагнозата се поставя въз основа на резултатите от проведените редица клинико-лабораторни и инструментални изследвания. С особено висока информативна стойност е извършването на аспирационна биопсия от костен мозък и морфологично, цитогенетично и имунохистохимично типизиране на получения материал.
Образните изследвания, включително ехография, КТ и ЯМР, са необходимо при съмнения за засягане на вътрешните органи и наличие на неврологична симптоматика.
Лечението при други левкемии с уточнен клетъчен вид е комплексно, като включва комбинирана полихимиотерапия, в определени схеми и дозов режим, поддържащо лечение, заместителна терапия с растежни фактори, трансплантация на костен мозък.
Прогнозата при отделните състояния показва известна вариабилност и се определя основно според възрастта и общото състояние на пациента, тежестта на заболяването и терапевтичния отговор към приложената схема на лечение.
Коментари към Други левкемии с уточнен клетъчен вид МКБ C94