Остра еритремия и еритролевкемия МКБ C94.0

Състоянието остра еритремия и еритролевкемия представлява миелопролиферативно нарушение, характеризиращо се с неопластична пролиферация на клетките от популацията на еритробластите и миелобластите.
Първото описание на заболяването датира от 1923 г. и е кръстено на Giovanni Guglielmo. Класифицира се като остра миелоидна левкемия тип М6, при която е налице голям брой клетки от червената редица в циркулиращата кръв и костния мозък.
Състоянието преминава през три етапа:
- остра еритремична миелоза: наблюдава се анемия и патологични червени кръвни клетки
- еритролевкемия: характеризира се с изобилие на миелобласти в костния мозък, амегакариоцитна тромбоцитопения и редуцирана гранулопоеза, водеща до развитие на неутропения
- остра миелоидна левкемия: в костния мозък доминират левкемичните бластни клетки
В основата на етиологичните причини, водещи до развитието на тази левкемия, стоят промени в нуклеотидите на ДНК и недостатъчното количество мутагенен цитозин.
Като рискови се означават наличието на фамилност, йонизираща радиация, миелодиспластичен синдром, предшестваща химиотерапия и други фактори.
Заболяването се наблюдава изключително рядко при деца. Проявява се обикновено във възрастта между 40 и 70 години, с леко превалиране на мъжкия пол. Съставлява 3-5 % от всички случаи на остра миелоидна левкемия и приблизително 20 % от всички вторични левкемии.
Клиничната картина се характеризира с широка вариабилност, като най-честият и срещан при почти всички пациенти симптом, е анемията. Други признаци са:
- фебрилитет
- хепатоспленомегалия
- тромбоцитопения
- слабост и лесна уморяемост
- повишен риск от кървене
- умерена редукция на теглото
- болка по костите и ставите
- чести инфекции, особено гъбични
Рядко се наблюдава засягане на централната нервна система, което протича с прояви на менингизъм.
Заболяването се характеризира с инвазия на патологичните еритроидни елементи в слезката, черния дроб, лимфните възли, кожата, мускулите, бъбреците, надбъбречните и половите жлези. При еритролевкемията характерни са рефрактерната анемия и изразената спленомегалия.
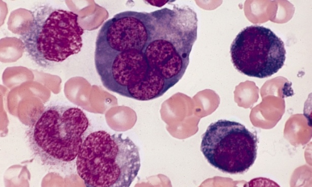
За поставяне на диагноза е необходимо провеждане на редица лабораторни и инструментални тестове. Цитонамазката от кръв показва наличие на ядрени червени клетки, в различни етапи от своето развитие, с характерни патологични промени. Увеличените лактат дехидрогеназа и пикочна киселина корелират с тежестта на състоянието.
Необходимо е извършване на биопсия от костен мозък и морфологично, цитогенетично и имунохистохимично типизиране на получения материал. За определяне степента на засягане на другите органи и структури, се извършват ехография, КТ и ЯМР.
Съществува известна асоциация между това състояние и някои автоимунни нарушения, като артрит, периферна невропатия, васкулит, миозит.
Лечението при пациенти с остра еритремия и еритролевкемия включва провеждане на индуцираща, консолидираща и поддържаща химиотерапия. Използват се комбинации от цитарабин, антрациклини и кортикостероиди. Добър ефект се постига и след трансплантация на стволови клетки.
Неблагоприятни прогностични фактори са напредналата възраст, цитогенетичните патологични отклонения и вторичната еритролевкемия, развила се след лечение с химиотерапевтични средства.
Симптоми и признаци при Остра еритремия и еритролевкемия МКБ C94.0
- Главоболие
- Коремна болка
- Умора
- Усещане за отпадналост
- Повишена телесна температура
- Затруднено дишане
Коментари към Остра еритремия и еритролевкемия МКБ C94.0