Медицински изследвания

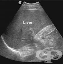
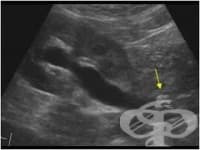
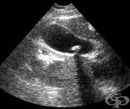
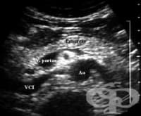
АКЦЕНТИ ОТ РУБРИКА УЛТРАЗВУКОВО ИЗСЛЕДВАНЕ (ЕХОГРАФИЯ)

АКТУАЛНО ОТ РУБРИКА УЛТРАЗВУКОВО ИЗСЛЕДВАНЕ (ЕХОГРАФИЯ)

ВСИЧКИ СТАТИИ

© 2007 - 2026 Аптеки Фрамар. Всички права запазени! Framar.bg във Facebook