Келоиден цикатрикс МКБ L91.0
Келоидният цикатрикс е резултат от свръхрастеж на плътна влакнеста тъкан, която обикновено се развива след излекуване на кожна травма. Тъканта се простира отвъд границите на първоначалната рана, обикновено не се повторява спонтанно и има тенденция от ремисия след изрязване (ексцизия).
Първото описание на келоидите (записано на папирус) засяга хирургичните техники, използвани в Египет през 1700 година пр. Хр. Впоследствие, през 1806 година, Алиберт използва термина келоид, извлечен от гръцката дума келевина, за да опише страничния растеж на тъканта в незасегната кожа.
За разлика от тях хипертрофичните белези се характеризират с еритематозни, сърбежни, повдигнати фиброзни лезии, които обикновено не се разширяват извън границите на първоначалното увреждане и могат да претърпят частична спонтанна разделителна способност. Хипертрофичните белези са често срещани след термични наранявания и други увреждания, които включват дълбоката дерма.
Само хора са засегнати от келоиден цикатрикс и са описани доминантен и рецесивен тип на унаследяване. Въпреки че келоидите се срещат във всички възрастови групи, те рядко се срещат при новородени или възрастни хора и имат най-висока честота при лица на възраст 10-20 години. Келоидите се срещат по-често при полинезийските и китайските популации, отколкото в индийските и малайзийските. Честотата на разпространение е по-висока при младите жени, отколкото при млади мъже. Келоидите и хипертрофичните белези засягат и двата пола еднакво в други възрастови групи.
Някои области на тялото, като гръдната кост, делтоидната област на горната част на ръката и горната част на гърба, са с повишена чувствителност към келоидно образуване. Тези области също са подложени на повишени нива на мускулно и кожно напрежение, което може да обясни връзката им с келоидите. Въпреки че нивата на напрежение и движение на кожата са високи в амеланотичните области, като дланите на ръцете или стъпалата, тези области не са свързани с келоиди. Най-често срещаните места на образуване на келоиди са главата и шията, долната челюст и тила.
С изключение на травмата, точните етиологични фактори, отговорни за образуването на келоиди, не са напълно изяснени. Келоидите често се свързват с отрицателни фактори за заздравяване на рани, като инфекция, прекомерно напрежение, чужди тела и повтаряща се травма.
Келоидните цикатрикси се появяват, като добре очертани розови до лилави твърди нодули или плаки с гладка, но неправилна граница. Сравнени с хипертрофичните белези, тези нодули често са болезнени. Хиперпигментацията е често срещана.
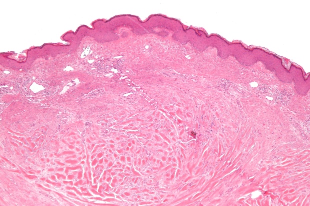
Хистологично при ранните белези се наблюдава повишена клетъчност и едематозна строма, която се заменя със зрял колаген с течение на времето. Кръвоносните съдове също са видни в ранното образуване на белези. Колагенните връзки са подредени случайно. Ранната хистологична картина на хипертрофичните белези прилича на тази на келоидите, но сгъстените колагенни снопове се изравняват с времето и се ориентират паралелно на дългата ос на белега.

Изображение: Nephron, CC BY-SA 3.0, via Wikimedia Commons
Диагнозата келоиден цикатрикс се поставя се въз основа на обективното изследване. Може да се потвърди и с кожна биопсия.
Хипертрофичните белези и келоидните цикатрикси могат да бъдат описани като вариации на типичното зарастване на рани. При типична рана анаболните и катаболните процеси постигат равновесие приблизително 6-8 седмици след първоначалното нараняване. Тъй като белегът узрява, якостта на опън на белега се подобрява в резултат на прогресивното кръстосано свързване на колагенните влакна. В този момент белегът обикновено е хиперемичен и може да бъде удебелен, но постепенно се понижава в продължение на месеци, докато се развие плосък, бял, гъвкав, евентуално опънат, зрял белег. Когато възникне дисбаланс между анаболните и катаболните фази на лечебния процес, се произвежда повече колаген, отколкото се разгражда и белегът расте във всички посоки. Белегът е издигнат над кожата и остава хиперемиран. Прекомерната фиброзна тъкан се класифицира като келоиден или хипертрофичен цикатрикс.
Учените Кисер и Броди обявяват, че колагенният възел е идентифициращата структурна единица на хипертрофичните белези и келоиден цикатрикс. Нодулът, който отсъства при зрели белези, съдържа висока плътност на фибробласти и еднопосочни колагенови фибрили в силно организирана ориентация. В допълнение, келоидите и хипертрофичните белези се различават от здравата кожа чрезбогата васкулатура, висока мезенхимна клетъчна плътност и сгъстен епидермален клетъчен слой. Опитите за клинично разграничаване на келоидите от хипертрофични белези се оказаха трудни в ранните фази на формиране. Клиничните различия стават по-очевидни, когато лезиите зреят. Най-последователната хистологична разлика е наличието на широки, матови, розови връзки на колаген в келоидите, които не присъстват при хипертрофични белези.
Лечението на келоиден цикатрикс може да се подразделя на хирургично, нехирургично и комбинирано. Много от публикуваните доклади препоръчват различни терапии. Малко проучвания обаче предоставят съгласуван терапевтичен план поради лошо дефинирани крайни точки при лечението, неадекватна последваща грижа, неправилно разграничаване между хипертрофични белези и келоиди и липса на проспективни проучвания. Повечето от литературните материали за келоидите показват, че се очаква висока степен на рецидив (50%), независимо от лечението.
Ако се намират в подходящо анатомично място, хипертрофичните белези могат обикновено да бъдат лекувани с прости ексцизии, осигуряващи затваряне на раната. Стероидните инжекции могат да бъдат подходящи, в зависимост от конкретната рана и от пациента.Въпреки че инжектирането на интралезионен триамцинолон ацетат обикновено изравнява израсналия белег и намалява пруритуса, остава потъмненият или атрофичен вид на разширената част на белега.
Стероидните инжекции трябва да се прилагат с повишено внимание, за да се избегне прекомерното третиране, което може да доведе до атрофия на кожата, телангиектазии и депресиран белег. По принцип ревизията на белези с ексцизия и атравматично затваряне и с възможно преориентиране на белега чрез използване на W-пластини или Z-пластини обикновено може да подобри увеличените хипертрофични белези. Тази процедура осигурява по-тесен белег.
Келоидните цикатрикс, лекувани с проста ексцизия, имат честота на повторение, варираща от 50-80%. Използването на Z-пластини е силно обезкуражено. Пълна ексцизия и почти пълна ексцизия (т.е. оставяйки зад себе си малък остатък от келоид върху периферните части на разреза) са били препоръчани. Теоретичната полза от последното е, че преди това ненараняваната тъкан не е травматизирана, намалявайки шансовете за повторение. Обаче, дали остатъчният остатък на келоида допринася за по-нататъшно развитие на келоиди, остава неясно. Трябва да се използва широко подкопаване, за да се предотврати напрежението на тези рани
Използването на кутикуларни, монофилни, синтетични постоянни конци се препоръчва за намаляване на тъканната реакция. Тъканните лепила могат да осигурят по-малко реактивно затваряне на кожата, което може да намали вероятността от образуване на келоиди. Необходими са допълнителни проучвания, за да се оцени тази хипотеза.
Лазери като въглероден диоксид, пулсиращо багрило, неодим-итриев алуминиев гранат (Nd-YAG) и аргон са използвани като алтернативи на студеното изрязване на келоидите. Използването на лазери обаче е скъпо и тромаво. Високото качество на лазерното използване до обикновено изрязване понастоящем не е демонстрирано в клиничните проучвания. По-нататъшни изследвания и технологични разработки могат да подобрят ефективността на лазерите за лечение на келоидите в бъдеще.
Криохирургията е форма на аблативна модалност, предложена от някои автори. Механизмът на действие на криотерапията включва използването на хладилен агент за предизвикване на наранявания от тип "измръзване" с клетъчно увреждане и съдово утаяване. Периодът, необходим за постигане на отговор, е значителен, 2-10 сесии, разделени на 25 дни. Един от основните нежелани ефекти е хипопигментацията поради увреждане на меланоцитите в основния слой на епидермиса.
Заглавно изображение: RosalinaH-M82, CC BY 4.0, via Wikimedia Commons
Симптоми и признаци при Келоиден цикатрикс МКБ L91.0
Лечение на Келоиден цикатрикс МКБ L91.0
Продукти свързани със ЗАБОЛЯВАНЕТО
ЦИКА - КЕЪР силиконова плака 12 см/15 см
Безплатна доставка за България!КЕЛОТАН гел 15 г
КОНТРАКТУБЕКС гел 20 г
КЕЛО - КОТ гел 15 г
КЕЛО - КОТ спрей против белези 100 мл
Безплатна доставка за България!ГРАФИТЕС 9 СН
СОДЕРМИКС КРЕМ 30 мл
КЕЛО - КОТ гел 6 г
КРЕМ ВИТАСИН 50 мл
ГРАФИТЕС 15 СН
ГРАФИТЕС 30 СН
Библиография
Fitzpatrick's dermatology in general medicine, Seventh edition, Chapter Dermal hypertrophies
http://www.dermnetnz.org/topics/keloids-and-hypertrophic-scars/
https://en.wikipedia.org/wiki/Hypertrophic_scar
http://emedicine.medscape.com/article/1057599-overview
Коментари към Келоиден цикатрикс МКБ L91.0