Остра лимфобластна левкемия МКБ C91.0
Левкемиите представляват група системни малигнени болести на кръвотворната тъкан, които често протичат със системни увреждания и различна интензивност на разгръщане на клиничната картина.
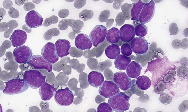
Остра лимфобластна левкемия е състояние, при което се наблюдава ангажиране на костния мозък и пролиферация на лимфоидните прекурсори с изключително бързо разгръщане на клиничната картина.
Това е прогресивно заболяване, протичащо с наличие на значителни количества незрели бели кръвни клетки (лимфобласти) в кръвта и костния мозък. Лимфобластите заместват нормалните елементи на костния мозък, което значително влошава нормалната хемопоеза. Лимфобластите пролиферират и в други органи, като лимфни възли, черен дроб и слезка, което допълнително влошава протичането на заболяването, предизвиквайки сериозни увреждания във функционалната активност на засегнатите органи.
Това е най-често срещаният вид левкемия сред детската популация. Съставлява една четвърт от всички онкологични заболявания при деца до 14 годишна възраст и две трети от всички случаи на левкемия в педиатрията.
При възрастни се наблюдава по-рядко, с леко превалиране на мъжкия пол.
Симптоми и особености на болестта
Етиологията на заболяването не е ясна, като редица фактори се сочат като рискови и предразполагащи развитието и прогресията на тази форма на левкемия.
Като предразполагащи за развитието на това заболяване се приемат наличието на фамилност (особено брат или сестра с левкемия), хромозомни заболявания, вродени заболявания на имунната система, йонизираща радиация, токсични агенти от околната среда, дефицит на фолиева киселина, синдром на Даун и други. Повишена честота на заболяването се наблюдава сред оцелелите от атомната бомба над Хирошима.
Особено рисково за развитието на състоянието е провеждането на предшестващо онкологично лечение, особено с агресивни лекарства и използване на високи дози.
Счита се, че острата лимфобластна левкемия е по-честа сред представителите на мъжкия пол, като по-засегната е бялата раса.
Клиничната картина при отделните пациенти се характеризира с проява на различни признаци. Могат да се обособят два основни синдрома, а именно синдром на недостатъчност на костния мозък и синдром на туморна инфилтрация.
При повечето пациенти са налице някои от следните прояви:
- хематологични нарушения: анемия, тромбоцитопения, неутропения, дисеминирана интравазална коагулация и свързаните с тях прояви (слабост, фебрилитет, склонност към кървене, чести инфекции и други)
- общи прояви: задух и гръден дискомфорт, болка в костите, намален апетит, редукция на телесното тегло, фебрилни състояния, чести кръвотечения от носа, кървене от венците, стомашен дискомфорт, нощни изпотявания
- неврологични прояви: промени в психичния статус, главоболие, менингиална инфилтрация и развитие на краниална невропатия, летаргия
- увреждания на други органи: засягане на бъбреците с развитие на бъбречна недостатъчност, засягане на лимфните възли с развитие на лимфаденопатия, чести инфекции с различна локализация, засягане на черния дроб (при част от пациентите е налице хепатомегалия)
С развитието на анемия се свързват лесната уморяемост и чувство за слабост, бледост, световъртеж. Тромбоцитопенията е причина за повишената склонност към кървене (особено кървене от венците, кървене от носа) и бързото образуване на синини. Неутропенията се асоциира с честите инфекции и намалената имунна съпротива, честите фебрилни състояния.
Състоянието бързо прогресира и се разпространява, засягайки редица органи, особено черен дроб, медиастинални лимфни възли, бял дроб, бъбреци, ЦНС, костна система, кожа с развитието на разностранни и многобройни увреждания, някои от които се описват по-скоро като леки, докато други могат потенциално да застрашат живота на пациента при липса на своевременна медицинска намеса.
При деца в около половината от случаите са налице неспецифични прояви, най-често хепатоспленомегалия (черният дроб и слезката се палпират лесно), бледост, лесно образуване на синини, фебрилитет. При много от пациентите в детска възраст са налице и лимфонодулопатия, умора, слабост, болки в крайниците, чести инфекции и други.
Ранната диагностика предоставя по-добри терапевтични възможности и намалява риска от развитие на сериозни усложнения при прогресия на болестния процес.
Диагностициране на заболяването
Диагнозата при остра лимфобластна левкемия е преди всичко лабораторна. Анамнезата и физикалният преглед дават твърде субективни признаци.
Обикновено при разпита на пациентите фокусът е насочен към евентуалното установяване давността на симптомите, въздействие на определени рискови фактори, субективна симптоматика и други. Клиничният преглед е насочен към установяване на някои от характерните за заболяването промени, увеличение на групи лимфни възли, оценка на общото състояние на пациента, в редки случаи и оценка на неврологичния статус.
С най-голямо информативно значение са резултатите от кръвните изследвания. Необходимо е извършване на пълна кръвна картина с диференциално броене, определяне на коагулационния статус, натривка от периферна кръв, химичен профил и определяне нивата на лактат дехидрогеназата, пикочната киселина, чернодробните ензими, креатинина.
Имунохистохимия, цитометрично изследване и полимеразна верижна реакция също дават полезна информация.
Образните изследвания са необходими за изясняване на степента на засягане на органи и структури от процеса, като най-често се назначават компютърна томография, ядрено-магнитен резонанс, по-рядко рентгенография, позитронно емисионна томография и други.
Окончателното потвърждение на диагнозата се осъществява чрез аспирационна биопсия на костен мозък с последващо подробно изследване на пробата, а при нужда може да се наложи и извършване на лумбална пункция.
В диференциалната диагноза е необходимо да се имат предвид някои състояния, като различни вирусни инфекции, нехочкинови лимфоми, апластична анемия, някои по-редки заболявания на лимфната и кръвотворните тъкани и други.
Лечение при остра лимфобластна левкемия

Терапевтичният подход при отделните пациенти с остра лимфобластна левкемия показва известни различия, като се прилагат различни лечебни схеми и използване на различни терапевтични методики.
Най-общо лечението при тази форма на левкемия се подразделя на четири основни фази, а именно индукция на ремисия (унищожаване на повечето от раковите клетки), консолидация (унищожаване на останалите ракови клетки), поддържаща терапия (за поддържане на ремисията продължително време) и превантивно лечение (за намаляване риска от рецидив на болестта).
В зависимост от използваните методи на лечение, най-често се прилагат следните:
- химиотерапия: предпочита се комбинираната полихимиотерапия, при която се използват подходящи комбинации от имуносупресивни лекарства с или без кортикостероиди в подходящи схеми и режими. При нужда от използване на по-високи дози, продължителен курс или някои индивидуални особености на пациентите, се препоръчва предприемане на превантивни мерки за минимизиране рисковете от странични ефекти вследствие провежданото лечение
- биологично лечение, имунотерапия: при възможност и по преценка на лекуващия медицински екип могат да се приложат специфични лекарства (моноклонални антитела, инхибитори на определени протеини и други), самостоятелно или в комбинация с някои от другите лечебни подходи
- лъчетерапия: при някои пациенти добри резултати се постигат и след няколко курса лъчетерапия, приложена самостоятелно или в комбинация с химиотерапия, особено при разпространение на процеса и засягане на централната нервна система и опорно-двигателния апарат
- трансплантация на костен мозък: при някои пациенти, при които са изпълнени определени критерии и при които се очаква благоприятен ефект въз оснва на хода на протичане на левкемията, може да се приложи трансплантация на костен мозък или на стволови клетки, които обикновено се комбинират с подходящо имуносупресивно лечение за намаляване риска от възникване на реакция на отхвърляне
Основен метод за лечение на този вид лимфоидна левкемия е комбинираната полихимиотерапия, с провеждане поетапно на индукционна, консолидираща и поддържаща химиотерапия. При засягане на централната нервна система се провежда интратекална химиотерапия и въвеждане на лекарствата в цереброспиналната течност. Най-често се използват средства от групата на цитостатиците, в комбинация с кортикостероиди.
При повече от две трети от пациентите, след провеждане на терапията, се постига ремисия, като нейната продължителност зависими от многобройни фактори.
Добри прогностични фактори при остра лимфобластна левкемия са възраст под 30 години, нисък брой на белите кръвни клетки, липса на патологична цитогенетика, пълна ремисия в рамките на четири седмици.
Препоръчва се редовно проследяване и профилактични изследвания с цел ранна детекция и своевременни мерки при рецидив на левкемията.
При възрастните прогнозата е неблагоприятна и само при около една трета терапевтичният отговор е добър и лечението е успешно.
Симптоми и признаци при Остра лимфобластна левкемия МКБ C91.0
ВсичкиЛечение на Остра лимфобластна левкемия МКБ C91.0
Продукти свързани със ЗАБОЛЯВАНЕТО
ДЕКСАМЕТАЗОН ABR таблетки 2 мг * 50
МЕТОТРЕКСАТ ЕБЕВЕ таблетки 5 мг * 30 САНДОЗ
КОРТАМЕТИЛ таблетки 16 мг * 20
ДЕКСАМЕТАЗОН ABR таблетки 0.5 мг * 30
Библиография
https://www.mayoclinic.org/diseases-conditions/acute-lymphocytic-leukemia/symptoms-causes/syc-20369077
en.wikipedia.org/wiki/Acute_lymphoblastic_leukemia
https://www.webmd.com/cancer/lymphoma/acute-lymphoblastic-leukemia#1
https://www.cancer.org/cancer/acute-lymphocytic-leukemia/about/what-is-all.html
https://emedicine.medscape.com/article/207631-overview
Коментари към Остра лимфобластна левкемия МКБ C91.0