Фиброза
› Симптоми
› Диагноза
› Лечение
Въведение
Фиброза представлява състояние, при което се образува излишно количество влакнеста съединителна тъкан между клетките на различни органи или тъкани. Симптомите могат да варират значително в зависимост от местоположението и степента на заболяването, както и симптомите на основната причина.Фиброза може да се развие в много тъкани на тялото, обикновено като резултат на хронични възпалителни процеси или при възстановителните процеси след заболявания на съответната тъкан. Най-често поразява вътрешните органи (черен и бял дроб, панкреас), сухожилията, ставните капсули и връзки. Други заболявания, при които може да се развие фиброза могат да бъдат туберкулоза, цироза, муковисцидоза. Лечението е насочено основно към справяне със симптомите и предотвратяване на усложнения.
Възможни причини за появата на фиброза са:
- Хронични възпаления- хроничен хепатит, пневмонити, автоимунни заболявания,.
- Продължително токсично увреждане- алкохол, лекарства и др.
- Генетични заболявания- муковисцидоза.
По-чести причини
Белодробна фиброза
Белодробна фиброза (Fibrosis Pulmonar) е заболяване при, което се образува излишък от съединителна тъкан (фиброзна) в белите дробове. Симптоми на заболяването са главно хронична суха кашлица, недостиг на въздух, дискомфорт в гърдите, лесна уморяемост, загуба на апетит. Причини за белодробна фиброза могат да бъдат автоимунни заболявания, вирусни инфекции, вдишване на професионални замърсители (азбестоза, силикоза), тютюнопушене, ревматоиден артрит, склеродермия, саркоидоза, грануломатоза на Вегенер, лъчева терапия и др.
Симптомите на белодробна фиброза включват:
- Задух, особено по време на физическо натоварване
- Плитко дишане
- Суха кашлица, която не отшумява
- Умора
- Необяснима загуба на тегло
- Синя, сива или бяла кожа около устните, очите или ноктите (цианоза)
» Прочетете повече по темата: Белодробна фиброза

Изображение: freepik.com
Муковисцидоза
Муковисцидозата, наричана още кистозна фиброза, е генетично заболяване, което причинява натрупване на лепкава, гъста слуз в органите, като ги блокира и уврежда. Нарича се кистозна фиброза, защото води до образуването на кисти и белези -фиброза, в панкреаса. Това увреждане на тъканта и гъстата слуз, може да блокира каналите, които освобождават храносмилателни ензими, което затруднява разраждането на хранителни вещества от храносмилателния тракт. Симптомите може да включват:
- Чести белодробни инфекции (повтаряща се пневмония или бронхит).
- Затруднено дишане.
- Чести хрипове.
- Чести инфекции на синусите.
- Кашлица.
- Бавен растеж.
- Забавено развитие (невъзможност за наддаване на тегло, въпреки добрия апетит и приема на достатъчно калории).
Усложненията на муковисцидозата включват:
- Инфекции- гъстата слуз може да доведе до задържане на бактерии в белите дробове и дихателните пътища. Това може да доведе до чести инфекции на дихателната система.
- Диабет- увреждането на панкреаса може да причини диабет, поради промяна в тъканта.
- Недохранване- слузта в храносмилателния тракт и липсата на панкреатични ензими, които да подпомогнат храносмилането, затрудняват усвояването на хранителни вещества.
- Остеопения и остеопороза- невъзможността за усвояване на хранителни вещества в храносмилателния тракт може да доведе до състояния, които правят костите с по-малка плътност.
» Вижте повече по темата тук: Кистозна фиброза МКБ Е84
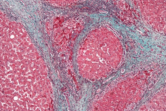
Цироза
Цирозата на черния дроб е късен стадий на хронично чернодробно заболяване. На този етап значително количество от здравата чернодробна тъкан се е превърнала във фиброза. Белезите се появяват в резултат на дългосрочно възпаление в черния дроб (хепатит). Когато имате твърде много белези, това може да попречи на правилното функциониране на черния дроб. Това води до чернодробна недостатъчност. Ранните симптоми могат да включват:
- Гадене или загуба на апетит.
- Чувство на слабост и умора.
- Общо неразположение.
- Болка в горната част на корема.
- Видими кръвоносни съдове.
- Зачервяване на дланите.
По-късните симптоми могат да включват:
- Жълтеница (жълт оттенък на кожата и очите).
- Тъмна урина и светли изпражнения.
- Сърбеж на кожата (но без видим обрив) .
» Вижте още: Клинична патология на чернодробната цироза
Изображение: https://www.myupchar.com/en, CC BY-SA 4.0, via Wikimedia Commons
Симптоми
Симптомите при фиброза могат да варират спрямо засегнатите структури в органа и причината. Някои от най-честите общи симптоми са:
- Умора и обща отпадналост.
- Болка или дискомфорт в засегнатата област.
При белодробна фиброза най-често се наблюдават:
- Задух.
- Учестено дишане.
- Пръсти тип „бухалка“ .
При чернодробна фиброза:
Диагноза
Диагностицирането на фиброза се осъществява според засегнатата структура в организма и подлежащата причина. Важно е снемането на подробна и точна анамнеза на пациента и извършването на физикален преглед.
При белодробна фиброза специфични тестове и процедури, които лекарите могат да използват за диагностициране, включват:
- Рентгенова снимка на гръдния кош.
- Компютърна томография с висока резолюция (HRCT).
- Изследвания на белодробната функция.
- Кръвни изследвания.
- Бронхоскопия.
- Биопсия.
Те могат също да използват ехокардиограма, за да диагностицират или изключат проблеми със сърцето.
При цироза:
- Кръвни изследвания- панел от тестове за чернодробна функция може да покаже признаци на чернодробно заболяване и чернодробна недостатъчност. Кръвните изследвания могат също да показват специфични заболявания или известни странични ефекти, като намалено съсирване на кръвта.
- Образни изследвания- образната диагностика може да покаже размера и формата на черния дроб. Специален вид образен тест, наречен еластография, може също да оцени нивото на фиброзиране в черния дроб.
- Чернодробна биопсия- чернодробната биопсия е процедура за вземане на малка тъканна проба от черния дроб за изследване в лаборатория. Биопсията може да потвърди цироза и да помогне за откриване на причината.
При муковисцидоза се провеждат:
- Потен тест- тестът измерва количеството хлорид в потта на тялото. Нивата на хлорид в потта са по-високи при хора с муковисцидоза (МК). Това е най-убедителният тест за МК, но може да е нормален и при хора с атипична МК.
- Генетични тестове- тестват се кръвни проби за промени в гените, които причиняват МК.
- Образна диагностика- използва се образна диагностика, като рентгенови снимки на синусите и гръдния кош, за да подкрепи или потвърди диагнозата МК. Само образната диагностика не може да диагностицира МК.
- Тестове за белодробна функция- тези тестове измерват колко добре функционират белите дробове.
- Култура на храчки- проба от храчките се тества за бактерии. Някои бактерии, като Pseudomonas, се срещат най-често при хора с МК.
Лечение
Лечението на фиброза е фокусирано към облекчаване на симптоматиката, подобряване на общото състояние на човек и предотвратяването на възможните усложнения.
- При белодробна фиброза- лекарства, забавящи хода на болестта, включващи основно нинтеданиб и пирфенидон.Те забавят прогресията на белодробната фиброза. Възможна е кислородотерапия, която да подобри дишането, когато е необходимо.
- При цироза- ограничаване на рисковите фактори, когато хепатита е вирусен се прилагат противовирусни медикаменти. Медикаментозното лечение може да облекчи оплакванията.
- Муковисцидоза- приложение на антибиотици при наличие на инфекции, използваен на муколитици, бронходилататори, заместително лечение с панкреасни ензими, CFTR-модулиращата терапия.
Превенция
Превенцията на фиброза не е винаги възможна, но спазването на следните практики може да намали риска от развитието на това състояние:
- Ранно лечение на хронични възпалителни заболявания.
- Ваксинация срещу хепатит.
- Ограничаване на алкохола.
- Редовни профилактични прегледи.
Заглавна: Nephron, CC BY-SA 3.0, via Wikimedia Commons
Библиография
https://my.clevelandclinic.org/health/diseases/9358-cystic-fibrosis
https://www.mayoclinic.org/diseases-conditions/cirrhosis/symptoms-causes/syc-20351487
https://my.clevelandclinic.org/health/diseases/10959-pulmonary-fibrosis
https://en.wikipedia.org/wiki/Fibrosis

Коментари към Фиброза