Framar.bg 0
0
Е-аптека Промоции
Здравна библиотека
Здравни проблеми Медицинска енциклопедия Заболявания Симптоми и признаци Алтернативна медицина Анатомия Медицински изследвания Лечения Физиология Патология Ботаника Микробиология Фармакологични групи Медицински журнал Взаимодействия История на медицината и фармацията Здравето А-Я
Диагностик
Здравна помощ
Здравен справочник Специалисти Здравни заведения Аптеки Институции и организации Образование Спорт и туризъм Клинични пътеки Нормативни актове Бизнес Социални грижи Форум Консултации
Здравна медия
Здравни новини Любопитно Интервюта Видео Презентации Научни публикации Анкети Бъди активен Кампании
Здраве и начин на живот
Хранене Хранене при... Рецепти Диети Групи храни и ястия Съставки Е-тата в храните Спорт Съвети Психология Лайфстайл Интерактивни
За нас
За Фрамар За реклама Статистика Общи условия Екип Кариера Адреси на аптеки Фрамар Блог Важно Автори Програма за лоялни клиенти Промоционална брошура
Контакти
Назад | Начало Медицинска енциклопедия Заболявания Новообразувания Злокачествени новообразувания Злокачествени новообразувания на лимфната, кръвотворната и сродните им тъкани Лимфоидна левкемия Косматоклетъчна левкемия

Косматоклетъчна левкемия МКБ C91.4

от 04 ное 2020г., обновено на 08 дек 2022г.
Автор: д-р Лилия Пашова-Стоянова
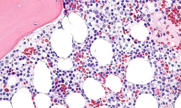
Косматоклетъчна левкемия МКБ C91.4 - изображение
  • Инфо
  • Симптоми
  • Лечения
  • Библиография
  • Коментари
Инфо
Инфо
Симптоми
Лечения
Библиография
Коментари

При косматоклетъчна левкемия, която е вид лимфоидна левкемия, се наблюдава патологично отклонение на В лимфоцитите и засягане на периферната кръв, костния мозък и слезката.

Състоянието е първоначално описано през 1958 г. от Bouroncle и е кръстено така, поради особеностите в Косматоклетъчна левкемия - клеткиструктурата на В лимфоцитите.

Патологичните клетки представляват клонални В лимфоцити, които инфилтрират ретикулоендотелната система.

Ангажирайки костния мозък, водят до нарушения в нормалната хемопоеза и панцитопения. Често инфилтрират и черния дроб и слезката, което резултира в органомегалия.

Хетерозиготна мутация в гена BRAF води до образуване на BRAF V600E протеин, който е онкоген и се открива при повечето пациенти с този тип левкемия (мутацията се открива при класическата форма на болестта и отсъства при варинатната форма на левкемията).

Свръхекспресия на белтъка циклин D1, който е важен регулатор на клетъчния цикъл, може да играе роля в молекулярната патогенеза на болестта.

Като рисков фактор за изява на това състояние се счита професионалната експозиция на пестициди, бензен, фосфорорганични съединения, някои други вредни субстанции и химикали.

Излагането на радиация и анамнеза за инфекциозна мононуклеоза също се асоциират с повишен риск за развитие на това заболяване.

Тази форма на левкемия се отличава с относително бавна прогресия на болестта и като цяло добър терапевтичен отговор към приложените лечебни схеми във връзка с диагностициране в сравнително ранен етап, преди развитието на сериозни увреждания и усложнения.

Симптоми и особености на болестта

Този вид лимфоидна левкемия се среща рядко и съставлява 2 % от всички левкемии, като се среща няколко пъти по-често при мъжете, особено във възрастта след 50 години.

Симптомите при косматоклетъчна левкемия показват голяма вариабилност при отдлените пациенти, като при някои почти липсват прояви, докато при други състоянието се презентира с някои от своите усложнения.

Клиничната картина се дължи основно на засягането на костния мозък и се характеризира с изявата на някои от следните признаци:

  • развитие на анемия: анемичният синдром води до слабост и лесна уморяемост, бледи кожа и лигавици, отпадналост, забавен мисловен процес и концентрация
  • тромбоцитопения: понижението на тромбоцитите, особено при силно изразените форми, се асоциира с повишен риск от лесно кървене, включително кървене от венците, кървене от носа, както и лесно формиране на синини, петехии, екхимози
  • неутропения: засягането на белия кръвен ред повишава риска от чести фебрилни състояния, треска, чести инфекции, особено с грам позитивни и негативни бактерии, атипични микобактерии, инвазивни гъбични инфекции и други
  • общи прояви: редукция на теглото, намален апетит, стмашен дискомфорт, нощни изпотявания

Косматоклетъчна левкемия - слезкаПри засягане на слезката, което се наблюдава при значителен процент от пациентите, е възможна проява на абдоминален дикомфорт. Рядко се наблюдава периферна лимфаденопатия и размери на лимфните възли над 2 см в диаметър.

Заболяването често се асоциира с други системни имунологични нарушения, като склеродермия, полимиозит, нодозен полиартериит.

При прогресия на левкемията се повишават рисковете от развитие на тежки хематологични увреждания, резистентни на антибиотично и медикаментозно лечение инфекции, сериозна спленомегалия, както и повишен риск от развитие на някои други малигнени неоплазми (главно нехочкинови лимфоми).

Диагноза и диференциална диагноза

Диагнозата при косматоклетъчна левкемия се базира на данните от клиниколабораторните и инструментални изследвания, като подробните изследвания минимизират риска от грешна диагноза, а в някои случаи и подпомагат оптимизацията на последващото лечение чрез определяне на тежестта на наличните увреждания и прогресия на заболяването.

Разпитът на пациентите в масовия случай е слабо информативен и в много редки случаи може да насочи към заболяване на лимфната система, определяне давността на проявите, изясняване на някои рискови фактори. При физикалния преглед най-често се установява спленомегалия (при някои пациенти увеличението размерите на слезката е значително), което в комбинация с данните от лабораторните изследвания насочва към левкемия. Анемия и тромбоцитопения се установяват при над две трети от пациентите, докато неутропенията се среща по-рядко.

За определяне на вида на левкемията се налага извършване на биопсия на костен мозък. Цитогенетичен анализ и имунофенотипизиране се прилагат при съмнителните случаи.

От образните методи най-често се прилага ехография, за установяване на степента на органомегалията, както и компютърна томография (КТ) и/или ядрено-магнитен резонанс (ЯМР) за определяне наличието на органни увреждания, тяхната локализация и тежест.

При диференциалната диагноза е необходимо да се имат предвид състояния като първична миелофиброза, хронична лимфоцитна левкемия, лимфоми, миелосклероза, системна мастоцитоза, някои описвани по-рядко в клиничната практика заболявания, засягащи лимфната и кръвотворните тъкани.

Лечение при косматоклетъчна левкемия

Терапевтичният подход при пациентите, диагностицирани с косматоклетъчна левкемия, се определя строго индивидуално в зависимост от тежестта и особеностите на болестния процес, прогресията на заболяването, диагностичните находки и редица индивидуални фактори.

Не всички, пациенти с потвърдена диагноза се нуждаят от своевременна терапия, но при всички в даден момент от прогресията на заболяването се налага провеждане на лечение.

Въпреки липсата на разработено дефинитивно, етиотропно и еднакво ефективно при всички пациенти лечение са създадени достатъчно схеми за повлияване проявите и напредването на болестта, които водят до добри резултати при много от засегнатите и забавяне прогресията на болестта.

Терапията на тази форма на левкемия се осъществява от мултидисциплинарен ефект, като различните средства, мерки и методи, които се прилагат за лечението на косматоклетъчна левкемия, включват обикновено:

  • активно проследяване: във връзка с бавната прогресия на болестта и продължителното безсимптомно протичане (или с минимални прояви) при много от пациентите често не се назначава специфично лечение. Пациентите се проследяват и подлежат на чести профилактични изследвания за различен период от време, до поява на активност на болестта. Индивидуален терапевтичен план се изготвя при данни за прогресия на болестта и наличие на умерени до тежки прояви (симптоматична спленомегалия, цитопения, чести инфекции), както и по преценка на лекуващия лекар
  • химиотерапия: специфичното лечение за болестта се състои в провеждане на химиотерапия, към която често се прибавят и моноклонални антитела. Най-често се предпочита подходът с монохимиотерапия (използване на само един препарат), като за разлика от редица други злокачествени новообразувания при тази форма на левкемия се получава добър терапевтичен отговор от използването на един препарат. Най-често се предпочита провеждане на лечение с кладрибин или пентостатин, които принадлежат към групата на пуриновите аналози. Пуриновите аналози се използват като първа линия химиотерапия, а като втора линия често се назначават интерферони и моноклонални антитела. При голям процент от пациентите лечението стартира с кладрибин под формата на продължителна инфузия или дневни инжекции в определена по строга схема доза и режим. Повечето пациенти, подложени на терапията, преминават в ремисия с продължителност няколко години, като при рецидив може да се повтори терапията с кладрибин. Най-честите странични ефекти включват висока температура и инфекции. Пентостатин показва ефективност, идентична на кладрибин, като се прилага по различна схема (най-често през седмица в продължение на три до шест месеца)
  • биологична терапия: добър отговор се получава и след приложение на интерферони, нови пуринови аналози и заместителна терапия с растежни фактори. При част от пациентите се назначава терапия с ритуксимаб, представляващ моноклонално антитяло, използвано за лечение на нехочкинови лимфоми, хронична лимфоцитна левкемия и в някои случаи и на косматоклетъчна левкемия. Ритуксимаб се назначава най-често при липса на ефект от химиотерапията или в комбинация с кладрибин за оптимизация на лечението. Ефективността на лечението с интерферони все още не е напълно изяснена. Препаратите се назначават при липса на ефект от химиотерапията или при наличие на противопоказания за нейното приложение, като при повечето пациенти води до частична ремисия за период от няколко месеца до около година
  • оперативна намеса: спленектомията в миналото е била терапия на първи избор при косматоклетъчна левкемия, но понастоящем премахване на слезката е необходимо само при пациенти, които не отговарят не приложеното медикаментозно лечение или при наличие на значителна спленомегалия, причиняваща болки и дискомфорт. Спленектомията не лекува левкемията, но обикновено води до възстановяване на нормалната хемопоеза
  • симптоматично и палиативно лечение: симптоматично за облекчаване на някои от проявите на болестта, подобряване на комфорта, психичното и емоционално състояние и тонус на пациентите се прилагат различни лекарства и методи от алтернативната медицина (техники за релаксация, медитация, йога, акупунктура и други) под наблюдението на лекуващия лекар. Въпросните методи се използват не за лечение на заболяването (нямат доказани подобни свойства), а за подобряване на състоянието и комфорта на пациентите
  • участие в клинично проучване на нови лекарства: някои пациенти при доброволно желание (и наличие на клинични проучвания и изпитвания на нови лекарства и методи за лечение на косматоклетъчна левкемия) могат да вземат активно участие в различни клинични проучвания, съобразно преценката на лекуващия лекар и тежестта на болестния процес

Основната цел е подобряване комфорта на пациентите, постигане и поддържане на ремисия, намаляване честотата и тежестта на рецидивите на болестта.

Прогнозата при косматоклетъчна левкемия се определя индивидуално, като влияние оказват редица фактори (индивидуални особености и здравословно състояние на пациентите, наличие на усложнения, отговор спрямо приложените терапевтични мерки и други), като при голям процент от пациентите с помощта на съвременната медицина е възможно постигане на трайна ремисия и поддържане на състоянието.

4.3/5 19 оценки

Симптоми и признаци при Косматоклетъчна левкемия МКБ C91.4

  • Умора
  • Усещане за отпадналост
  • Повишена телесна температура
  • Загуба на тегло
  • Увеличен черен дроб
  • Пожълтяване на кожата и очите
Всички

Лечение на Косматоклетъчна левкемия МКБ C91.4

  • Лечение с интерферон

Библиография

https://www.healthline.com/health/hairy-cell-leukemia
https://www.mayoclinic.org/diseases-conditions/hairy-cell-leukemia/symptoms-causes/syc-20372956
https://en.wikipedia.org/wiki/Hairy_cell_leukemia
https://emedicine.medscape.com/article/200580-overview
https://www.cancer.gov/types/leukemia/patient/hairy-cell-treatment-pdq
https://lymphoma-action.org.uk/types-lymphoma-non-hodgkin-lymphoma/hairy-cell-leukaemia

Коментари към Косматоклетъчна левкемия МКБ C91.4

От сайта (3)
Напиши коментар 3 коментара
  1. www.framar.bg отговаря
    www.framar.bg отговаря 
    на 03 November 2020 в 16:36

    Иван Стоев

    Трябва да си обновите статията, защото съдържа ред неточности. Става въпрос за BRAF V600E, а не за BRAF V100E (какъвто дори не съм сигурен, че съществува). Тази мутация е позитивна при класическата трихолевкемия и отсъства при трихолевкемия-вариант. На базата на нея се ползва лечение с BRAF инхибитори от сорта на Вемурафениб, самостоятелно или с моноклонални анти-CD20 тела. Никой никъде не прилага трансплантация на костен мозък при това заболяване.. И да, Кладрибин не се внася в България, като пациентите са принудени да го търсят в чужбина, въпреки всички уверения на властите, че онкоболните са осигурени с лекарства. Скандално!!!

    Здравейте! Благодарим Ви за бдителността и сигнала! Неточностите са коригирани. Статията ще бъде обновена при първа възможност.

  2. Иван Стоев 
    на 03 November 2020 в 13:53

    Трябва да си обновите статията, защото съдържа ред неточности. Става въпрос за BRAF V600E, а не за BRAF V100E (какъвто дори не съм сигурен, че съществува). Тази мутация е позитивна при класическата трихолевкемия и отсъства при трихолевкемия-вариант. На базата на нея се ползва лечение с BRAF инхибитори от сорта на Вемурафениб, самостоятелно или с моноклонални анти-CD20 тела. Никой никъде не прилага трансплантация на костен мозък при това заболяване.. И да, Кладрибин не се внася в България, като пациентите са принудени да го търсят в чужбина, въпреки всички уверения на властите, че онкоболните са осигурени с лекарства. Скандално!!!

  3. Стойчо 
    на 08 September 2020 в 22:11

    В България няма кладрибин дори в най-голямите аптеки и болници в София. Що за държава сме!?.......Мутри притежават аптеките и пишат законите...и дори да имаме ефтин бензин няма кладрибин,да не говорим че сме здравно осигурени в БЪЛГАРИЯ а плащаме в ГЕРМАНИЯ наново. Наскоро в интервю шеф на болница в София сподели че лечението на онкологично болни тук излизало 11 пъти по скъпо от немското! Разбирате ли защо говорим за мафия!?...........Живеем в държавата на крадците , но нека не им чупим държавата -то тя сама ще се разпадне .....

googletag.pubads().definePassback('/21812339056/Baner300600', [300, 600]).display();
Най-новите публикации
Келтско проклятие – генетичната болест, която засяга ирландци и шотландциКелтско проклятие – генетичната болест, която засяга ирландци и шотландци

Келтско проклятие – генетичната болест, която засяга ирландци и шотландци

от 04 фев 2026г.Прочети повече
Спасиха живота на млада жена с рядък и сложен случай на ендокардитСпасиха живота на млада жена с рядък и сложен случай на ендокардит

Спасиха живота на млада жена с рядък и сложен случай на ендокардит

от 04 фев 2026г.Прочети повече
Планират се промени в диагностичния наръчник на психичните разстройстваПланират се промени в диагностичния наръчник на психичните разстройства

Планират се промени в диагностичния наръчник на психичните разстройства

от 04 фев 2026г.Прочети повече

НАЙ-НОВОТО ВЪВ ФОРУМА

Инуностимулант при диабет - дайте ми предложения

преди 4 дни, 2 часа и 9 мин.

Алергия към фъстъци: Симптоми, причини и лечение

преди 6 дни, 5 часа и 41 мин.
Всички

АНКЕТА

Спортувате ли активно?

Виж резултатите

Е-АПТЕКА ПОСЛЕДНО ОБНОВЕНИ

ФОРТЕКАЛ таблетки 20 мг * 20 BERLIN CHEMIE

АТЕРОСТАД таблетки 5 мг * 30 СТАДА

БИО АРГАН МАСЛО спрей 100 мл

МУСАНТ таблетки 2 мг * 30 ЗЕНТИВА

БИЛКОВА АПТЕКА ТИНКТУРА СУЛФОРАФАН + ТИАМИН 50 мл

ПОСЛЕДНИ КОМЕНТАРИ

ИЗОПРИНОЗИН таблетки 500 мг * 50

Коментар на: www.framar.bg отговаря от 04 фев 2026г. в 14:08:02

ГЕНТАЗОН капки за очи и уши, разтвор 5 мл

Коментар на: www.framar.bg отговаря от 04 фев 2026г. в 14:06:12

ЕСЦИТИЛ таблетки 10 мг * 28 ЕГИС

Коментар на: www.framar.bg отговаря от 04 фев 2026г. в 14:05:34

ГИНКО ВИН + ЦЕНТЕЛА таблетки * 30 БОТАНИК

Коментар на: www.framar.bg отговаря от 04 фев 2026г. в 14:04:03

ИЗОРЕКС разтвор 50 мг / мл 240 мл

Коментар на: www.framar.bg отговаря от 04 фев 2026г. в 14:00:20
При възникнало съмнение за здравословен проблем или нужда от лечение, моля винаги се обръщайте за медицинска консултация към квалифициран и правоспособен лекар или фармацевт. В никакъв случай не възприемайте дадената Ви чрез сайта информация като абсолютно достоверна и правилна, дори и същата да се окаже такава.
Данни на Фрамар ООД:
  • Фрамар ООД, ЕИК: 123732525, Стара Загора, ул. Петър Парчевич № 26, телефон: 0875 / 322 000, e-mail: office@framar.bg
  • За контакт
  • Borika
  • MasterCard
  • mastercard securecode
  • Visa
  • verified by visa
Информация:
  • Общи условия
  • Политика за поверителност
  • Политика за използване на бисквитки
  • Право на отказ от договора
  • Рекламации
  • Доставка
  • Плащания
  • Отстъпки за регистрирани клиенти
  • Промоции и безплатна доставка
  • Често задавани въпроси
  • Карта на сайта
  • При възникване на спор, свързан с покупка онлайн, можете да ползвате сайта ОРС
  • Български Фармацевтичен съюз
  • Изпълнителна агенция по лекарствата
  • Комисия за защита на потребителите
  • Министерство на здравеопазването
БДА NextGenerationEU DMCA.com Protection Status
© 2007 - 2026 Аптеки Фрамар. Всички права запазени! Framar.bg във Facebook
Изработка на интернет портал от Valival