Синдром на хондрокосталните съчленения [Tietze] МКБ M94.0
› Причини
› Симптоми
› Диагноза
› Лечение
Въведение
Синдром на хондрокосталните съчленения , познат като синдром на Титце (Tietze), представлява рядко състояние, което се характеризира с единично или множествено задебеляване на предната гръдна стена, най-често на ниво 2-ро и 3-то ребро. В основата му е доброкачествено асептично възпаление в областта на преходите от ребро към ребрен хрущял, ребрен хрущял към гръдна кост или ключица към гръдната кост. Основните симптоми са болка и локален оток. Болката се провокира от натиск, кашлица, усилено дишане и може да се разпространява към други части на тялото. Именно поради тази причина първоначално състоянието може да се диагностицира погрешно като белодробен или сърдечен проблем. Диагнозата се поставя на основата на физикален преглед, изключване на други състояния и образни изследвания. Лечението е главно консервативно. Прилагат се противовъзпалителни препарати, аналгетици и се ограничават факторите провокиращи болката. В повечето случаи заболяването отминава за около 3 месеца.
За първи път синдромът на Титце е описан през 1921 г. от немския хирург Александър Титце и впоследствие е кръстен на него. Заболяването засяга по-често жени, отколкото мъже и дясната страна, необяснимо, по-често от лявата.
Синдром на Титце и костохондрит
Синдромът на Титце и костохондритът са сходни състояния, засягащи мястото на свързване на ребрата с гръдната кост. Разликата между тях се изразява най-вече в наличието на оток на ребрените хрущяли и местоположението. При синдромът на Титце се наблюдава оток на ребрените хрущяли, което не се проявява при костохондрит. Освен това, костохондритът засяга областта от 2-ро до 5-то ребро, докато синдромът на Титце обикновено засяга 2-ро или 3-то ребро. И двете състояние не са сериозни и често се лекуват по един и същи начин.

Причини
Точните причини за поява на синдром на хондрокосталните съчленения [Tietze] не са установени, но заболяването често се получава в резултата на физическо преразтежение в тази област или минимално нараняване. Това може да стане при продължително кашляне, кихане, повръщане или удари в областта на гърдите. Възможно е заболяването също да се прояви след силен продължителен смях. Психологичният стрес може да изостри синдрома, но няма доказателство за това, че може да бъде причина за неговата поява. Пациенти, които се подлагат на лъчетерапия в областта на гръдния кош, също могат да боледуват от заболяването.
- Травматично нараняване - Автомобилна катастрофа, падане или спортна травма, засягащи горната част на гръдния кош, може да причини синдром на Титце.
- Микротравми - Незначително, но повтарящо се натоварване на гръдния кош с течение на времето може да предизвика микротравми в тъканите и специфична възпалителна реакция. Такива повтарящи се травматизиращи гръдния кош фактори може да са силна кашлица, кихания или многократни удари в гърдите.
Рискови фактори
Вероятно за развитие на синдрома е по голяма при някои предразполагащи фактори или подлежащо хронично заболяване, които отслабват хрущялната тъкан на гръдния кош.
Такива са:
- Ревматични и автоимунни заболявания
- Наследствени заболявания на съединителната тъкан
- Възпалителни или дегенеративни заболявания на ставите
- Хронични инфекции на гръдния кош
- Хронична кашлица или повръщане
- Скорошна операция в областта
Симптоми
Основният симптом, който се наблюдава при синдром на хондрокосталните съчленения [Tietze] е силната, остра болка в гърдите. Освен това се наблюдава подуване и болезненост на засегнатите хрущяли, които могат да бъдат опипани при палпация. Болката често се усилва при дишане. Въпреки че в някои случаи болката може да бъде доста силна, едва поносима, заболяването се счита за бенигнено (доброкачествено), което отминава в рамките на 12 седмици. Въпреки това, в някои случаи може да хронифицира.

Пациент с оток на втората лява стернокостална става с остра болка при натиск, без признаци на локално възпаление
Изображние: sciencedirect.com/CC BY-NC-ND 4.0
Болка в гърдите - Най-характерния симптом е болката в гърдите, която може да се появи внезапно или постепенно. Някои пациенти описват болката като тъпа в неподвижно положение, но остра и стягаща при движения или извиване на горната част на тялото. Кашлицата, кихането и физическото натоварване могат да я влошат. Болката е локализирана в предната и горната част на гърдите, често от едната страна. Може да се разпространи и към ръката, рамото и врата.
Болката се обостря най-често от:
- Упражнения или движения на тялото
- Кашлица или кихане
- Повръщане
- Дълбоко поемане на въздух
- Смях
- Носете предпазен колан в автомобил
- Прегръдка
- Легнало положение
Локален оток - Другият основен симптом на синдрома на хондрокосталните съчленения. Може да е налице подутина в областта на горната част на гръдната кост - най-често между гръдната кост и второто или третото ребро. Някои хора го описват като „маса“ твърда на допир. В някои случаи зоната може да се усеща топла, да изглежда червена или с променен цвят. Това са симптоми на възпаление, като отокът е отличителна черта на синдрома на Титце и често и изчезва последен.
Синдромът на Tietze може да причини също:
- Зачервяване или усещане за топлина в място на болката
- Промени в цвета на кожата
- Болка, която се разпространява към врата, ръцете или раменете
Болката и отокът в предната част на гръдния кош може да се:
- Появяват и отшумяват внезапно
- Развиват постепенно
- Задържат за седмици или месеци
- Появят независимо един от друг ( например оток без болка)
В някои случаи болката от синдрома на Титце може да имитира инфаркт, но двете състояния имат ключови разлики.
Синдромът на Титце обикновено засяга само малка област от гръдния кош, докато инфарктът може да причини болка или стягане в по-голяма област. Инфарктът не причинява забележима подутина като синдрома на Титце. По време на инфаркт може да имате задух, гадене или потене.
Диагноза
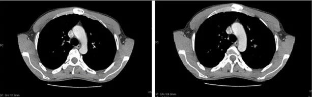
Диагнозата синдром на хондрокосталните съчленения [Tietze] се поставя въз основа на подробна анамнеза, щателен физикален преглед и извършване на някои образни и лабораторни изследвания, като рентгенография, магнитен резонанс, компютърна томография и други.

Компютърна томография, показваща хипертрофия с хиподензен вид на хрущялите на първата, втората и третата стернокостални стави в ляво.
Изображние: sciencedirect.com/CC BY-NC-ND 4.0
Синдромът на Титце може да имитира други състояния, които засягат сърцето и белите дробове, в това число и инфаркт. Поради тази причина при диагностиката е важно да се изключат други състояния, които може да са по-сериозни или да изискват различен тип лечение.
Няма специфичен тест за диагностициране на синдрома на Титце. За да се насочи към правилната диагноза лекарят прави подробен физикален преглед и събира информация за симптомите. При прегледа се прави палпация (опипване) или натиск в областта на гърдите и ребрата, за да провери за наличие на болезнени зони и оток.
За да се потвърди диагнозата се използват различни диагностични тестове като:
- Кръвни изследвания - за проверка за маркери за инфекция или възпаление
- Рентгенография на гръдния кош - за изключване на фрактури или травми на ребрата
- Други образни изследвания - като ултразвук, компютърна томография или ядрено-магнитен резонанс
- Електрокардиограма (ЕКГ) - за да се види електрическата активност в сърцето и изключат съдрдечни заболявания
Лечение
Лечението на синдром на хондрокосталните съчленения [Tietze] е главно консервативно. Прилагат се противовъзпалителни препарати, аналгетици и покой. В повечето случаи заболяването отминава за около 3 месеца. В много случаи синдромът на Титце се подобрява сам с малко или никакво медицинско лечение. Въпреки това е най-добре да се направи консултация и план за лечение от лекар.
Лечението е насочено към намаляване на отока и болката и може да включва:
- Покой - Трябва да се изключат упражнения или определени видове физическа активност, които могат да провокират появата на симптомите.
- Нестероидни противовъзпалителни лекарства (НСПВС) - включва лекарства като ибупрофен, кетопрофен и диклофенак. Обикновено се предписват от лекар, който преценя дозировката, взаимодействието с лекарства и съпътстващи заболявания.
- Топлинни процедури или ледена терапия - Могат да се назначат топли или студени компреси няколко пъти дневно с цел намаляване на възпалението и стимулиране на възстановителния процес.
- Кортикостероиди - Ако болката е силна и не се повлиява от други лечения, лекарят може да предпише кортикостероиди под формата инжекции директно в засегнатата област. Това цели бързо да намали възпалението и болката.
Хирургична интервенция
В рефрактерни случаи на синдром на Тице, когато състоянието не се повлиява от консервативни методи на лечение, се препоръчва хирургично лечение. Използването на хирургично лечение се отнася до резекция на засегнатите ребрени хрущяли и някои от околните области. За ефективността на този тип лечение няма достатъчно данни.
Симптоми и признаци при Синдром на хондрокосталните съчленения [Tietze] МКБ M94.0
- Болка в гръдната област
- Поява на отоци
- Кожно зачервяване
- Повишена чувствителност на гръдната стена
- Подуване в областта на ребрата
- Болезненост на гръдния кош
Лечение на Синдром на хондрокосталните съчленения [Tietze] МКБ M94.0
Библиография
https://www.webmd.com/pain-management/tietze-syndrome
https://my.clevelandclinic.org/health/diseases/23565-tietze-syndrome
https://en.wikipedia.org/wiki/Tietze_syndrome
https://www.medicalnewstoday.com/articles/tietze-syndrome#treatment
https://www.osmosis.org/answers/tietze-syndrome
https://patient.info/doctor/orthopaedics/costochondritis-and-tietzes-syndrome
Коментари към Синдром на хондрокосталните съчленения [Tietze] МКБ M94.0