Усещане за студ по тялото
› Симптоми
› Диагноза
› Лечение
Въведение
Усещането за студ по тялото представлява субективно чувство за понижена температура в цялото тяло или само в някоя част от тялото. Може да бъде причинено от много разнообразни физиологични и патологични състояния. Не е животозастрашаващо състояние. Важно е да се определи дали е моментно, поради факторите на заобикалящата среда или представлява сигнал за подлежащо заболяване. Някои от възможните патологични причинители на това състояние са анемия, хипотиреоидизъм, нарушена микроциркулация, анорексия. Диагностицирането се извършва чрез снемане на анамнеза, физикален преглед и провеждането на допълнителни изследвания. Лечението е насочено към справяне с основния проблем.
Някои от по-честите причини за усещане за студ по тялото са:
- Физиологично- промяна на околната температура, ниско телесно тегло и нисък процент подкожни мазнини, обездвижване, стресова реакция, хипервентилация
- Ендокринни и метаболитни нарушения- хипотиреоидизъм, хипофункця на надбъбречната жлеза, хипогликемия, диабетна нефропатия, метаболитен синдром
- Хематологични причини- анемия, нарушена микроциркулация, хиповолемия
- Неврологични причини- периферна невропатия, компресия на периферен нерв
- Медикаменти- бета-блокери, вазоконстриктори
- Психични фактори- тревожно разтройство, панически атаки, хроничен стрес
- Други- менопауза, хранителни дефицити, недохранване
По-чести причини
Хипотиреоидизъм
Хипотиреоидизмът е ендокринологично заболяване. При него щитовидната жлеза не произвежда достатъчно от необходимите хормони. В леките си прояви хипотиреоидизмът не е придружен от симптоми. Те се появява бавно с течение на времето. Основно се забавя метаболизма и започва натрупването на тегло.
Към симптомите на хипотиреоидизъм спадат:
- натрупване на тегло
- луновидно лице
- суха кожа
- подпухналост на лицето
- мускулна слабост
- оредяване на косата
- нередовен женски цикъл
- проблеми с паметта
» Вижте повече: Хипотиреоидизъм, неуточнен МКБ E03.9
Менопауза
Менопаузата е физиологично настъпващ период в живота на жената, в който менструацията спира окончателно. Кървенето трябва да е спряло за 12 месеца, за да се диагностицира като менопауза. Преди окончателното й настъпване има период от пременопауза, в който започва промяна на хормоните. Пременопаузата може да продължи няколко години и през този период постепенно започва проявата на симптоми. Обикновено менопаузата настъпва в късните 40 години и ранните 50 години от живота на жената.
Някои от симптомите при менопауза са:
- Нередовно кървене
- Усещане на топли и студени вълни по тялото
- Нощно изпотяване
- Честа промяна в настроението
- Проблеми със съня
- Вагинална сухота
- Проблеми с паметта
» Повече по темата: Менопауза
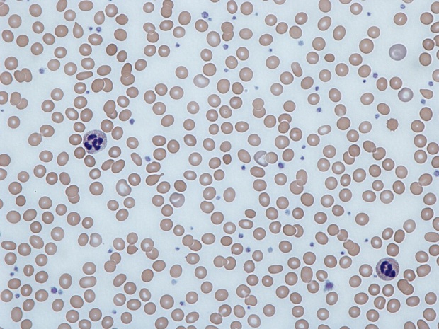
Анемия
Анемия представлява заболяване, при което се отчита намаление на броя на еритроцитите или на хемоглобина в единица обем от кръвта. Възможно е да има достатъчно еритроцити, но те да не могат да изпълняват правилно функцията си. По този начин се намалява кръвообращението към ръцете и краката. Съществуват много различни форми на анемия спрямо причините. Анемията е често срещано заболяване. Жените страдат по-често спрямо мъжете. Към симптомите за анемия е възможно да спадат:
- Замаяност
- Студени крайници
- Причерняване пред очите
- Задух
- Пребледняване
- Сърцебиене
Важно е състоянието да бъде проследявано и да се прилага нужното лечение, за да се избегнат възможни усложнения.
» Повече по темата: Анемия

Изображение: Dr Graham Beards, CC BY-SA 3.0, via Wikimedia Commons
Нервна анорексия
Нервна анорексия, или накратко само анорексия, е хранително разстройство. Обикновено хората с това заболяване изпитват тревожност от покачване на телесната маса, губят бързо тегло, изпитват промяна във възприятието за вида на тялото си. Обикновено имат ниско ниво на подкожни мазнини и по-лесно изпитват студ. При липса на адекватно лечение и контрол над състоянието е възможно анорексията да е животозастрашаваща и да доведе до трайни увреждания на тялото.
Някои от по-честите симптоми при анорексия са:
- Екстремна загуба на тегло
- Силна умора и слабост
- Замаяност
- Трудно изхождане
- Стомашни болки
- Често усещане за студ
- Подуване на ръцете или краката
- Трудности с концентрацията или фокусирането
- Повишена тревожност
- По-чести костни фрактури
» Вижте повече тук: Нервна анорексия
Диабетна нефропатия
Увреждането на бъбреците, което се случва в резултат на диабет, е известно като диабетна нефропатия. Един от симптомите на диабетна нефропатия е постоянното усещане за студ.
Други симптоми на диабетна нефропатия включват:
- Гадене и повръщане
- Сърбеж
- Загуба на апетит
- Задух
- Объркване
- Подуване на лицето, краката или ръцете
- Анорексия
» Вижте още: Диабетна нефропатия
Симптоми
Симптомът усещане за студ по тялото може да се прояви самостоятелно или да е придружен от следните оплаквания:
- Болка
- Мравучкане
- Изтръпване
- Втрисане
- Скованост
- Слабост
- Подуване
- Промени в цвета на кожата
- Дискомфорт
Когато оплакванията са продължителни и пречат на нормалния начин на живот се препоръчва консултация с медицински специалист.
Диагноза
Диагностицирането на усещане за студ по тялото се извършва чрез взимане на анамнеза, физикален преглед и някои допълнителни изследвания
- Анамнеза- насочена е към установяване началото на симптомите, тяхната продължителност, връзката им с околната температура, наличие на допълнителни оплаквания, промяна в теглото, наличие на хронична умора, генетична предразположеност към някои заболявания.
- Физикален преглед- извършва се оценка на периферната циркулация на кръвта, промяна в цвета на кожата, подуване, обриви.
- Лабораторни изследвания- кръвни изследвания за анемия, серумни нива на желязо и витамини. Измерват се хоромонте на щитовидната жлеза, електролити.
- Други- тестове за периферна невропатия, преглед при психиатър, невролог, ендокринолог, ехография на щитовдната жлеза.
Лечение
Лечението на симптома усещане за студ в тялото е насочено към справяне с основното заболяване.
Когато симптома се проявява при физиологично състояние се препоръчват топли компреси, поддържане на телесната топлина, избягване на студ.
При патологични причинители на усещане за студ в тялото:
- При хипотиреоидизъм- препоръчва се консултация с ендокринолог и е възможна хормонзаместителна терапия.
- При анемия и хранителни дефицити- прием на хранителни добавки с желязо, витамин В12 или спрямо конкретните нужди.
- При диабетна нефропатия- редовно проследяване на кръвната захар, прием на правилните медикаменти за диабет, поддържане на телесното тегло в оптимални граници.
Превенция
Превенцията на симптома усещане за студ по тялото не е винаги възможна. Спазването на някои от посочените практики, може да намали риска.
- Избягване на продължително излагане на студ
- Подходящо облекло спрямо температурата на околната среда
- Достатъчен прием на желязо, витамини и протеини
- Контрол и лечение на съществуващите заболявания
- Редовна физическа активност
- Оптимален прием на храна и вода
- Ограничаване на тютюнопушенето
- Намаляване на стреса в ежедневието
Заглавна снимка: freepik.com
Библиография
https://my.clevelandclinic.org/health/symptoms/21476-chills
https://www.medicalnewstoday.com/articles/325151
https://www.mayoclinic.org/diseases-conditions/menopause/symptoms-causes/syc-20353397
https://www.webmd.com/a-to-z-guides/why-am-i-cold
https://www.mayoclinic.org/diseases-conditions/anemia/symptoms-causes/syc-20351360
Коментари към Усещане за студ по тялото