Мега цистерна магна
› По-чести причини за възникване
Въведение
Мега цистерна Магна представлява увеличено субарахноидално пространство в задната черепна ямка при напълно нормална анатомия на малкия мозък и четвъртия вентрикул. Смята се за доброкачествена и често инцидентна находка, която в повечето случаи няма клинично значение. Честотата на срещане на мега цистерна магна е около 1%. Въпреки това е важно да се изключат други малформации и да се проследяват пациентите при наличие на психиатрични симптоми.
Цистерна Магна е най-голямото субарахноидално пространство в областта на задната черепна ямка. Разположена е между долната повърхност на малкия мозък и дорзалната страна на продълговатия мозък. Тя е част от циркулационната система на ликвора и играе роля в поддържането на нормалното налягане и свободното движение на цереброспиналната течност. Мега цистерна магна се дефинира като увеличаване на това пространство над 10 mm, без да са налице структурни отклонения на малкия мозък, вермисa или четвъртия вентрикул (четвъртото мозъчно стомахче). Тази характеристика я различава от други аномалии от Dandy-Walker спектъра, при които се наблюдават хипоплазия на вермисa, дилатация на четвъртия вентрикул и промени в конфигурацията на задната черепна ямка.
Причини за възникване
Причините за възникване на мега цистерна магна все още не са напълно изяснени. В повечето случаи те са многофакторни и включват вродени, генетични и в редки случаи придобити механизми. Макар състоянието да се счита предимно за анатомичен вариант на нормата, съществуват няколко хипотези, които обясняват нейното развитие.
Ембриологични дефекти
Мега цистерна магна може да се дължи на нарушение в ранните етапи на ембрионалното развитие на задната черепна ямка. Това включва дефекти в затварянето и формирането на задната мембранозна зона, която играе ключова роля в отделянето на субарахноидалното пространство от четвъртия вентрикул. При този механизъм субарахноидалното пространство се разширява, но без да се засягат структурата, размерът или позицията на малкия мозък и четвъртия вентрикул. Нарушения в резорбцията на ликвора по време на феталното развитие също могат да доведат до натрупване на ликвор в тази област, което се проявява като увеличена цистерна магна.
Генетични фактори
Някои проучвания описват фамилни случаи, което предполага генетична компонента. Докладвани са асоциации с мутации, участващи във функцията на цилиите. Нарушената функция на мотилните цилии може да доведе до промени в циркулацията на ликвора, често съчетана с увеличена цистерна магна. Освен това мега цистерна магна може да се наблюдава при пациенти с наследствени заболявания като субепендимална хетеротопия или други нарушения на невралната миграция. Тези асоциации не са задължителни, но подчертават възможността за генетично обусловени механизми.
Съпътстващи малформации
Мега цистерна магна може да бъде част от спектъра на малформации в областта на задната черепна ямка. Най-често трябва да се разграничават състояния от групата на Dandy-Walker комплекс, но при изолирана мега цистерна Магна липсват ключови особености като хипоплазия или ротация на вермиса и кистична дилатация на четвъртия вентрикул. МЦМ може да бъде наблюдавана и при персистиращ Blake’s pouch – ембрионална структура, която понякога запазва комуникация с четвъртия вентрикул и води до увеличено пространство в задната черепна ямка. В по-редки случаи МЦМ се асоциира с хидроцефалия, вариации в анатомията на ликворните пространства или други малформации на мозъчните структури, но тези съчетания не са типични.
Придобити състояния
Въпреки че в повечето случаи мега цистерна магна е вродена, има описани придобити форми. Нарушена циркулация на ликвора вследствие на обструкции в областта на форамена на Магенди или форамена на Лушка може да доведе до разширяване на субарахноидалното пространство в задната черепна ямка. Това може да се наблюдава след травма, при възпалителни заболявания като менингит или арахноидит, както и след неврохирургични интервенции, при които се променя ликворната динамика. В редки случаи бавно развиващи се кистични лезии, атрофични процеси или постинфекциозни изменения могат да създадат вторично разширяване на цистерна Магна, но без да причиняват структурна деформация на малкия мозък.
Симптоми

По-голямата част от пациентите с мега цистерна магна нямат никакви оплаквания и находката се открива случайно при провеждане на скенер (КТ) или ядрено-магнитен резонанс (ЯМР) по друг повод - например при главоболие или травма на глава.
При малък процент пациенти са описани:
- Леки когнитивни нарушения
- Трудности с концентрацията
- Нарушения на паметта
- Емоционални промени
- Поведенчески промени
- Психиатрични симптоми, включително психотични прояви, маниакални или депресивни епизоди.
Важно е да се подчертае, че тези прояви невинаги са пряко свързани с мега цистерна магна. В много случаи те се дължат на съпътстващи неврологични или психиатрични състояния и в такъв случай мега цистерна магна може да се регистрира като съпътстваща находка.
Поставяне на диагноза

Златен стандарт за диагностика е ядрено-магнитния резонанс (ЯМР). Той позволява детайлна визуализация на задната черепна ямка и надеждно разграничаване на мега цистерна магна от Dandy-Walker малформация, арахноидални кисти или други структурни аномалии.
Ключови диагностични критерии за мега цистерна магна включват:
- Увеличена цистерна магна над 10 mm.
- Нормална анатомична структура на малкия мозък.
- Нормален четвърти вентрикул.
- Компютърна томография (КТ) може да предостави допълнителна информация, но ЯМР е предпочитан поради по-добрата визуализация на меките тъкани.
- При фетална диагностика ултразвукът помага да се определи дали мега цистерна магна е изолирана находка или част от комплексна малформация.
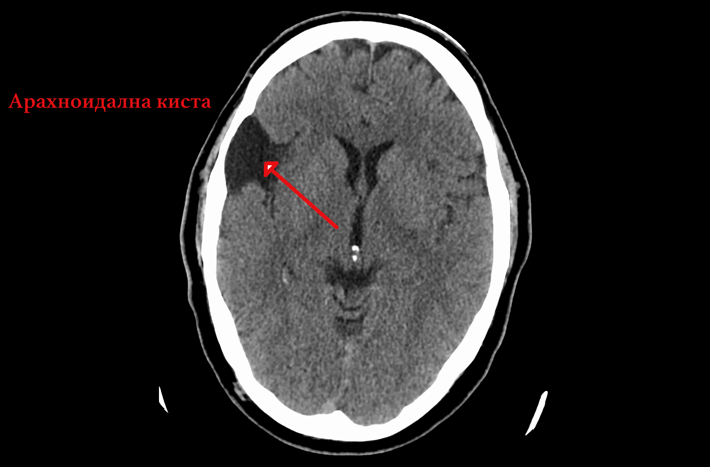
Диференциална диагноза

Важно е мега цистерна магна да бъде разграничена от:
- Арахноидални кисти
- Dandy-Walker малформация
- Кисти на четвърти вентрикул
- Псевдокистозни дилатации вследствие на атрофия
Правилното разграничаване има голямо значение, тъй като прогнозата и управлението на различните аномалии значително се различават.
Лечение

Изолираната мега цистерна магна не изисква лечение, тъй като не представлява патологично състояние и рядко води до клинични проблеми.
При наличие на съпътстваща симптоматика се предприемат мерки спрямо причината:
- При повишено вътречерепно налягане или хидроцефалия (изключително рядко при мега цистерна магна) се обсъжда неврохирургично лечение.
- При когнитивни или психиатрични прояви се прилага симптоматична терапия - когнитивна рехабилитация, психофармакологично лечение и проследяване от специалист.
- В отделни случаи са описани положителни ефекти от галантамин при когнитивни нарушения, особено когато са налице съпътстващи невродегенеративни процеси.
Проследяване
Пациентите с изолирана мега цистерна магна обикновено не се нуждаят от интензивно проследяване. Въпреки това е препоръчително:
- Контролен ЯМР при първоначално съмнение за съпътстващи малформации
- Невропсихологична оценка, ако има когнитивни оплаквания
- Психиатрично проследяване при поява на емоционални или поведенчески нарушения
- При фетуси с мега цистерна магна се препоръчва следродилна образна диагностика за потвърждаване на изолираната находка, тъй като в някои случаи мега цистерната Магна може да бъде преходна и да регресира спонтанно през късния гестационен период.
Прогноза
Повечето пациенти водят напълно нормален живот без никакви неврологични, когнитивни или психиатрични проблеми. При фетална диагностика мега цистерна магна рядко се свързва с неблагоприятни изходи и в значителен процент от случаите намалява или изчезва до раждането. В редки случаи може да се наблюдават леки когнитивни или поведенчески затруднения, но причинно-следствената връзка с мега цистерна магна не е напълно доказана.
Изображения: freepik.com
Заболявания при симптом Мега цистерна магна
Библиография
https://www.ncbi.nlm.nih.gov/books/NBK582133/
https://radiopaedia.org/articles/mega-cisterna-magna-1
https://www.sciencedirect.com/topics/medicine-and-dentistry/cisterna-magna
https://my.clevelandclinic.org/health/diseases/6002-dandy-walker-syndrome
https://www.physio-pedia.com/Arachnoid_Cysts
Коментари към Мега цистерна магна
Снежана Тодорова
Здравейте. Аз съм в 27 седмица , и показателите ми са 10,5mm Cisterna magna. Страхувам се много , понеже в останалите изследвания всичко е наред , но това , което чета за Cisterna magna е свързано с тризомия 18.... Пращат ме на ЯМР , 30 седмица и казват , че тогава могат да ми дадат отговор.
Здравейте! Cisterna magna обикновено е с размери между 2-10 mm през втория и третия триместър на бременността. 10,5 mm е леко над горната граница на нормата и само по себе си не потвърждава тризомия 18, особено ако другите изследвания са нормални. При тризомия 18 обикновено има много други ултразвукови находки, а не само цистерна магна.
ЯМР в 30-та седмица ще даде по-детайлна картина на структурата на мозъка. Това е стандартна стъпка, когато има стойност близка до или малко над горната граница, но не означава автоматично наличие на синдром.
Здравейте. Аз съм в 27 седмица , и показателите ми са 10,5mm Cisterna magna. Страхувам се много , понеже в останалите изследвания всичко е наред , но това , което чета за Cisterna magna е свързано с тризомия 18.... Пращат ме на ЯМР , 30 седмица и казват , че тогава могат да ми дадат отговор.
Владислава
Здравейте, какви са референтните граници на цистерна магна в 32 седмица от бременноста?
Здравейте! Cisterna magna обикновено е с размери между 2-10 mm през втория и третия триместър на бременността.
Здравейте, какви са референтните граници на цистерна магна в 32 седмица от бременноста?