Granuloma annulare МКБ L92.0
Granuloma annulare е доброкачествена, самоограничаваща се асимптоматична хронична дерматоза. Colcott Fox за пръв път описва състоянието през 1895 година, но през 1902 година Радклиф-Крокър го е означил като granuloma annulare.
Granuloma annulare е сравнително често срещано заболяване, което се среща във всички възрастови групи, но е рядко в ранна детска възраст. Тя се характеризира клинично с дермални папули и пръстеновидни плаки. Точната причина е неизвестна.
Етиологията и патогенезата на granuloma annulare са неизвестни. Предложените патогенни механизми включват клетъчно-медииран имунитет (тип IV), имунен комплексен васкулит и аномалия на тъканните моноцити. Други възможни механизми включват първична дегенерация на съединителната тъкан, водеща до грануломатозно възпаление, имунна реакция, медиирана от лимфоцити, с активиране на макрофаги и разграждане на съединителната тъкан, медиирано от цитокини.
Честотата на granuloma annulare в общата популация не е известна. Тя не се благоприятства от определена раса, етническа група или географски район. Локализираната форма е най-често срещана сред различните подтипове. От всички пациенти със заболяването 9-15% имат генерализиран вариант. Жените са засегнати два пъти по-често от мъжете. Локализираната форма е най-често срещана при деца и при възрастни под 30 години. Генерализираната форма показва двумерно разпределение на възрастта, настъпващо при пациенти под 10 години и при пациенти на възраст 30-60 години. Въпреки че при възрастни може да възникне подкожна форма, тя е предимно заболяване на иначе здрави деца, които обикновено са на възраст 2-10 години. По подобен начин перфоративната форма засяга най-често деца.

Изображение: Mravlja Matjaz, CC BY-SA 4.0, via Wikimedia Commons
Освен видимия обрив, granuloma annulare обикновено е асимптоматичнa. Понякога лезиите могат да бъдат сърбящи. Пациентите обикновено забелязват пръстен от малки, твърди папули по долните и горни крайници, често центрирани върху ставите. Папулите са причинени от групирането на Т-клетки под кожната повърхност. Лезиите са гладки, блестящи, гранулирани папули и плаки. Те са пръстеновидни, с диаметър 1-5 сантиметра. Могат да бъдат в телесен цвят, виолетови или еритематозни. Понякога няколко пръстена могат да се слеят.
Известни са следните клинични варианти на granuloma annulare:
- локализирана - това е най-често срещаната форма. Локализираната форма се характеризира с лезии в телесен цвят до виолетов с диаметър до 5 сантиметра. Обикновено епидермиса има отслабени повърхностни белези. Могат да присъстват пръстеновидни лезии с единични папули или нодули. Локализираната форма засяга долните крайници и китките.
- генерализирана - тази форма се проявява предимно при възрастни. Обикновено са засегнати врата, краката, лицето, скалпа, дланите и ходилата. Лезиите варират от широко разпространени папули и пръстеновидни плаки до големи, обезцветени пластири с разнообразно оцветяване, от жълто до виолетово.
- подкожна - тази форма се проявява предимно при деца. Характеризира се с твърди асимптоматични възли в дълбокия дермис или подкожните тъкани, като отделни лезии са с диаметър от 5 до 4 сантиметра. Те са преобладаващи по глезените, ходилата, хълбоците, ръцете, скалпа и клепачите.
- перфоративна - тази форма е много рядка. Обикновено се локализира по ръцете и пръстите, или върху торса и крайниците. Различни повърхностни папули се развиват, със или без отделяне на секрет, като при излекуване оставят белези.
- аркуатна кожна еритема - това е необичайна форма на granuloma annulare, която се проявява като инфилтрирани еритематозни пластири, които могат да образуват големи, хиперпигментирани пръстени.
Атипична granuloma annulare включва:
- granuloma annulare на необичайни места, като лице, длани и уши
- granuloma annulare с фоточувствително разпределение
- необичайно тежка или симптоматична форма
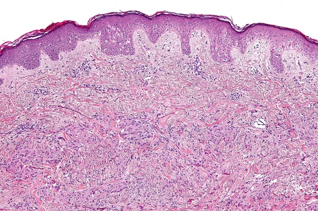
Хистологичното изследване разкрива огнища на дегенеративен колаген, свързан с палисадно грануломатозно възпаление. Промените обикновено се наблюдават в горния и средния дермис, или в подкожните тъкани. Характерните хистопатологични находки са лимфохистиоцитен гранулом, свързан с различни степени на дегенерация на съединителната тъкан и отлагане на муцин. Възпалителният инфилтрат може да има палисаден интерстициален модел или смес от двата модела. Понякога се наблюдава подобен на саркоиден модел с големи епителиоидни хистиоцити. Типичното се наблюдават единични или множествени огнища на възпаление с централно ядро от променен колаген, заобиколен от стена от палисадирани хистиоцити. Некробиотичните центрове обикновено са овални, леко базофилни, лишени от ядра и се характеризират със загуба на колагеновите връзки и намалени или отсъстващи влакна от еластична тъкан.

Изображение: Nephron, CC BY-SA 3.0, via Wikimedia Commons
Диференциална диагноза при granuloma annulare може да се прави със следните заболявания:
- еритема мигранс
- саркоидоза
- лихен планус
- тинеа
- лимфоцитен инфилтрат на Джеснер
Най-често granuloma annulare се диагностицира клинично поради характерния й вид. Но понякога диагнозата не е очевидна и могат да се обмислят други варианти. Кожната биопсия обикновено показва некробиотична дегенерация на дермален колаген, заобиколена от възпалителна реакция. Това не е истински гранулом.
Спонтанната резолюция на локализираната форма се е случило в рамките на 2 години в 50% от случаите, въпреки че лезиите могат да траят седмици до десетилетия. Повторяемостта, често на едно и също място, се отбелязва в 40% от случаите. Генерализираната форма има по-хроничен ход, с редки спонтанни разстройства, слаб отговор на лечението и чести рецидиви. Подкожните лезии често спонтанно се възстановяват. Локални или далечни рецидиви са съобщени в 20-75% от случаите в различни проучвания.
В повечето случаи granuloma annulare, не се изисква лечение, тъй като лезиите изчезват след няколко месеца, без да оставят следа. Понякога обаче те продължават да съществуват от години. Лечението невинаги е успешно. Местната терапия включва:
- локален кортикостероиден разтвор
- интралезионални инжекции - триамцинолон 3 mg/mL
- криотерапия или лазерна аблация
- крем от имиквимод
- топични инхибитори на калциневрин (такролимус и пимекролимус)
Системната терапия може да се има предвид при широко разпространената granuloma annulare. Използват се:
- системни стероиди
- изотретиноин
- метотрексат
- дапсон
- хидроксихлорохин
- пентоксифилин
- комбинация от антибиотици веднъж месечно: рифампицин, олаксацин, миноциклин
- фотохемотерапия (PUVA)
- циклоспорин
- инхибитори на TNFa, като адалимумаб и инфликсимаб
Заглавно изображение: Mravlja Matjaz, CC BY-SA 4.0, via Wikimedia Commons
Симптоми и признаци при Granuloma annulare МКБ L92.0
- Безсимптомно протичане на заболявания
- Симптоми от ръцете
- Симптоми на краката
- Симптоми от краката
- Симптоми от страна на ръцете
- Симптоми на коляното
Лечение на Granuloma annulare МКБ L92.0
Библиография
Fitzpatrick's Color Atlas and Synopsis of Clinical Dermatology, Sixth Edition, Section MISCELLANEOUS INFLAMMATORY DISORDERS
http://www.dermnetnz.org/topics/granuloma-annulare/
http://emedicine.medscape.com/article/1123031-overview
https://en.wikipedia.org/wiki/Granuloma_annulare
http://www.mayoclinic.org/diseases-conditions/granuloma-annulare/symptoms-causes/dxc-20178995
Коментари към Granuloma annulare МКБ L92.0