Остеоид остеом
› Симптоми
› Лечение
› Прогноза
Въведение
Остеоидният остеом представлява вид доброкачествен костен тумор, който засяга предимно деца, юноши и млади хора. Характеризира се с малък размер, наличие на централен нидус (централно огнище) и изразена болка, усилваща се нощем и повлияваща се добре от стандартно използваните обезболяващи лекарства, като нестероидните противовъзпалителни средства. Най-често се локализира в дългите кости и гръбначния стълб. Макар и доброкачествен, туморът може да доведе до значителен функционален дискомфорт, поради което ранната диагностика и адекватното лечение са от съществено значение.
Какво е остеоид остеом?
Остеоидният остеом представлява вид доброкачествен, костен тумор, който произхожда от остеобластите и се характеризира с малък размер (обикновено под един сантиметър) и наличие на характерно централно огнище, известно с медицинския термин нидус, заобиколено от зона на реактивна склероза.
Туморът засяга предимно деца, юноши и млади хора, най-често между 10 и 30 години, като има ясно изразено превалиране по честота на мъжкия пол. Локализира се най-често в дългите кости, главно бедрена кост и тибия, особено в кортикалната им част, но може да се срещне и в гръбначния стълб, таза и по-рядко в други кости.
Макар и доброкачествен, остеоидният остеом е клинично значим поради интензивната, често проявена нощно време болка, която се повлиява от нестероидни противовъзпалителни средства, което е почти патогномонично за състоянието.
Причини и рискови фактори
Точната етиология на остеоидния остеом не е напълно изяснена. Счита се, че туморът възниква в резултат на локална пролиферация на остеобласти, но все още не е ясно дали представлява истинска неоплазия или реактивен костен процес.
Предполагаемите причини за поява на остеоид остеом включват:
- нарушения в костното ремоделиране: при дисбаланс между остеобластна и остеокластна активност, водещ до формиране на ограничен туморен фокус (нидус)
- локална хиперваскуларизация: локалната хиперваскуларизация (наличие на нови кръвоносни съдове) и повишена продукция на простагландини, особено простагландин тип Е2, което допринася както за болката, така и за реактивната склероза на околната кост
- микротравми: при някои пациенти се обсъжда връзка с предшестваща травма, макар доказателствата да са ограничени
Сред основните рискови фактори за развитие на състоянието се включват детска и млада възраст, мъжки пол, повишена механична натовареност на засегнатата кост. Към момента не са идентифицирани генетични, инфекциозни или системни метаболитни фактори, които директно да се свързват с развитието на остеоиден остеом.
Симптоми
В клиничната картина на остеоидния остеом превалира болковият синдром, който има ясно изразени особености и често насочва към диагнозата още на ниво анамнеза:
- болка: постоянна, тъпа до умерено силна болка, която се усилва през нощта се счита за най-характерния симптом. Болката се повлиява бързо и ефективно от приложението на нестероидни противовъзпалителни средства (аспирин, ибупрофен), дори в ниски дози. С напредване на процеса болката може да стане по-интензивна и по-слабо повлияваща се от аналгетици
- локални прояви: локална болезненост при палпация, особено при повърхностно разположени лезии. Възможни са подуване и локално затопляне, макар и по-рядко, при изразена реактивна хиперемия. Характерно е ограничение в движението, когато туморът е разположен в близост до става
- симптоми според локализацията: при засягане на гръбначния стълб са налице болка, мускулен спазъм и възможно развитие на болезнена сколиоза, особено при деца и юноши. При засягане на дългите кости типични прояви са накуцване, функционален дискомфорт при физическо натоварване
- общи симптоми: обикновено липсват системни прояви като фебрилитет, отпадналост или загуба на тегло, което също значително подпомага диагностичния процес
Типичното клинично протичане при състоянието обикновено води до ранно диагностициране, но при атипична прогресия на оплакванията, неправилна диагноза и забавяне на терапията е възможно развитие на различни по вид и тежест усложнения.
Усложнения
Въпреки доброкачествения си характер, остеоидният остеом може да доведе до редица локални и функционални усложнения, особено при продължително протичане без адекватно лечение, като сред най-характерните се включват:
- мускулно-скелетни усложнения: хронична болка, водеща до ограничена физическа активност, нарушения на съня и влошено качество на живот. Често са налице и мускулен спазъм и контрактури, ограничен обем на движение в съседната става и други
- нарушения в растежа: при деца и подрастващи може да се наблюдава асиметричен костен растеж. Възможни са деформации на засегнатата кост и разлика в дължината на крайниците при засягане на дългите кости. Възможно е развитие на болезнена сколиоза при остеоиден остеом на гръбначния стълб
- ставни усложнения: хроничен синовит и ставен излив са възможни, когато лезията е разположена в близост до ставна повърхност
Продължителната болка и нуждата от ежедневен прием на аналгетици и нестероидни противовъзпалителни средства могат да доведат до лекарствено-индуцирани нежелани реакции. При деца и юноши е възможно нарушение на физическата активност, отсъствия от училище и психоемоционален дискомфорт.
Диагноза и изследвания
Диагнозата на остеоидния остеом се основава на характерната клинична картина, в комбинация с образни изследвания, като компютърната томография се счита за златен стандарт:
- разпит и преглед: данни за типична нощна костна болка, която се повлиява добре от нестероидни противовъзпалителни средства, е силно насочваща. При физикален преглед може да се установи локална болезненост, мускулен спазъм или ограничение в движението, в зависимост от локализацията
- лабораторни изследвания: обикновено всички поакзатели са в референтни граници. Липсват данни за системно възпаление, като лабораторните изследвания се използват главно за подпомагане на диференциалната диагноза
- образни изследвания: рентгенография често е първото проведено изследване, като може да покаже ограничена зона на склероза в кортикалната кост. Нидусът невинаги е ясно видим, особено в ранните стадии. Метод на избор за поставяне на диагнозата е компютърната томография, при която ясно се визуализира централният нидус (малка лезия с по-ниска плътност, често с централна калцификация, заобиколена от изразена реактивна склероза). Особено полезна е при атипични локализации и за прецизно планиране на лечението. При някои пациенти може да се наложи и назначаване на ядрено-магнитен резонанс

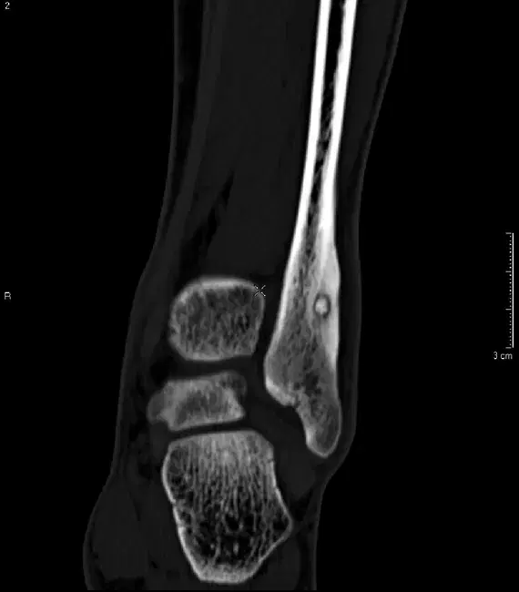
Изображение: Компютърна томография на глезена, показваща склеротична лезия в долната фибуларна метафиза. Видим централен склеротичен нидус с правилен тънък остеолитичен ореол. Характеристиките са типични за остеоиден остеом. Кейс на Хани М. Ал Салам, Radiopaedia.org rID: 8506 ; използван под Creative Commons License.
Диференциалната диагноза налага различаване на състоянието от остеобластом, хроничен остеомиелит, малигнени костни тумори (по-рядко, при атипично протичане) и други.

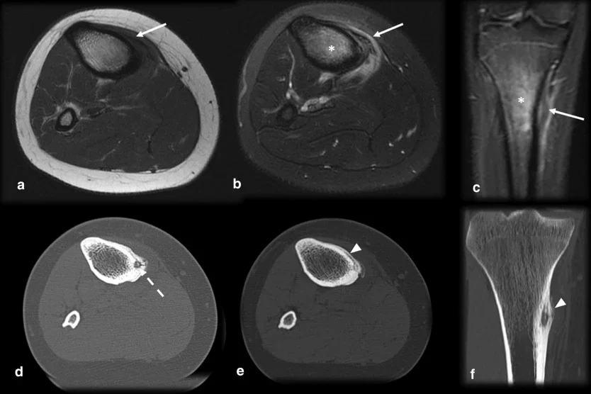
Изображение: Субхондрален остеоид остеом, имитиращ трохлеарна хондромалация. 35-годишен мъж с болка в предната част на коляното в продължение на 4 месеца. Аксиални T2 FS MR изображения (a), показващи дълбока хондрална ерозия (стрелка), субхондрален оток (звездичка) и малки огнища с нисък интензитет на сигнала, които биха могли да бъдат нидус (пунктирана стрелка). Сагитална T1 MRI (b) и CT (c) потвърждават диагнозата на остеод остеома нидус (пунктирана стрелка). Хирургични изображения преди (d) и след (e) резекция. Използвано от springermedizin.de под Creative Commons Attribution 4.0 International License.

Изображение: Остеоид остеом при 15-годишен футболист с постеромедиална болка в тибията в продължение на 3 месеца, която се влошава по време на тренировка и при палпация на горната постеромедиална тибия. ЯМР аксиален T1 ( ), аксиален (b) и коронален (c) T2 FS показва кортикално удебеляване, периостална реакция, оток на сухожилието на pes anserinus (стрелки) и оток на костен мозък (звездичка), имитиращи стрес фрактура. По-нататъшното изследване с компютърна томография (d,e,f ) показва огнище (пунктирана стрелка), причиняващо тази кортикопериостална реакция (връх на стрелка) и потвърждаващо остеоид остеома. Използвано от springermedizin.de под Creative Commons Attribution 4.0 International License.
Лечение
Лечението на остеоидния остеом има за цел контрол на болката и елиминиране на туморния нидус.
Изборът на терапевтичен подход зависи от възрастта на пациента, тежестта на симптомите, локализацията на лезията и влиянието на тумора върху качеството на живот.
Сред най-често назначаваните терапевтични методи се включват:
- консервативно лечение: основава се на продължителен прием на нестероидни противовъзпалителни средства, които ефективно потискат болката. Консервативният подход е подходящ при леки симптоми, трудно достъпна локализация, пациенти с противопоказания за инвазивно лечение
- минимално инвазивно лечение: метод на избор в съвременната практика е перкутанната радиочестотна аблация, която се извършва под компютърно томографски контрол с термична деструкция на нидуса. Методът показва много висока ефективност (над 90 процента), води до бързо облекчаване на болката, асоциира се с кратък болничен престой и бързо възстановяване
- лазерна аблация или криоаблация: представляват алтернативни методи при специфични случаи или противопоказания за перкутанна радиочестотна аблация
- хирургично лечение: хирургична резекция на нидуса се прилага все по-рядко. Показана е при неуспех или противопоказания за приложение на другите терапевтични методи, при атипична локализация на лезията и диагностична несигурност. Оперативното лечение показва по-голяма инвазивност, нужда от по-продължителен възстановителен период и се асоциира с риск от отслабване на костта и фрактури
След лечението се препоръчва клинично и образно проследяване, особено при персистираща болка.
Рецидивите са редки и обикновено се дължат на непълна деструкция на нидуса.
Прогноза
Прогнозата при остеоиден остеом често е отлична. Туморът е доброкачествен, без риск от малигнена трансформация. При своевременно и адекватно лечение се постига пълно и трайно облекчаване на симптомите при много голяма част от пациентите. Рецидивите са редки и обикновено се дължат на непълно елиминиране на нидуса. Дори при консервативно лечение е възможна спонтанна регресия в рамките на няколко години.
Заглавно изображение: Адаптирано от шаблон, създаден от Servier Medical Art (http://smart.servier.com) под Creative Commons License.
Библиография
https://radiopaedia.org/articles/osteoid-osteoma
https://www.ncbi.nlm.nih.gov/books/NBK537279/
https://orthoinfo.aaos.org/en/diseases--conditions/osteoid-osteoma
https://en.wikipedia.org/wiki/Osteoid_osteoma
https://emedicine.medscape.com/article/1253443-overview?form=fpf
https://my.clevelandclinic.org/health/diseases/22405-osteoid-osteoma
https://www.physio-pedia.com/Osteoid_Osteoma
https://www.webmd.com/cancer/osteoid-osteoma
Коментари към Остеоид остеом