Баретов хранопровод
› Симптоми и усложнения при Баретов хранопровод
› Диагноза при хранопровод на Барет
› Лечение при Баретов хранопровод
› Хранене и диета при Баретов хранопровод
Въведение
Баретовият хранопровод (Баретов езофаг, хранопровод на Барет) представлява състояние, при което в резултат от киселинен рефлукс се увреждат клетките по хода на лигавицата на хранопровода. Състоянието се означава като преканцероза (преканцерозата е състояние предшестващо развитието на рак), тъй като крие потенциален риск от малигнизиране (превръщане в злокачествен тумор на хранопровода).
Причини и рискови фактори
Точните причини за появата, развитието и прогресията на Баретовия хранопровод не са известни. Широко се обсъжда наличието на дългогодишна гастроезофагеална рефлуксна болест, като основна причина за поява на състоянието, но много от засегнатите не съобщават за наличието на киселини. При тях се говори за така наречения тих рефлукс, при който стомашните киселини увреждат лигавицата на хранопровода, въпреки липсата на обективни оплаквания.
Сред рисковите фактори, които могат да увеличат вероятността от поява на Баретов хранопровод, се включват:
- фамилна анамнеза: наличието на близък родственик с Баретов хранопровод или тумор на хранопровода значително увеличава риска от развитието му под въздействието на други фактори
- пол и етнос: по-често боледува бялата раса, като при мъжете честотата на Баретовия хранопровод е значително по-висока от тази при жените
- възраст: състоянието може да се прояви във всяка една възрастова група, но проучвания показват най-голяма честота след 50 години
- проблеми с теглото: наднормено тегло или затлъстяване, особено с наличие на абдоминално затлъстяване с отлагане на подкожни мазнини в областта на корема, също съдейства за увеличаване риска от поява на състоянието

- рефрактерен на лечение рефлукс: наличието на подлежаща гастроезофагеална рефлуксна болест, която не се повлиява ефективно от стандартните лекарства за лечение (инхибитори на протонната помпа, Н2-блокери), както и наличието на симптоми от повече от пет години повишават риска от Баретов хранопровод
- фактори, влошаващи подлежащия рефлукс: факторите, които влошават подлежащия рефлукс и киселини, неминуемо повишават риска и от поява на Баретов езофаг. Такива са системната злоупотреба с алкохол, тютюнопушене (активно, пасивно, включително и след отказ от тютюнопушенето), преяждане, богата на трансмазнини диета, прекомерна употреба на люти храни и подправки, честа употреба на нестероидни противовъзпалителни средства, лягане скоро след хранене
Симптоми и усложнения при Баретов хранопровод
Появата на Баретов хранопровод най-често се асоциира с дългогодишна гастроезофагеална рефлуксна болест, чиито характерни оплаквания включват честа поява на киселини, регургитация (връщане в хранопровода) на стомашно съдържимо, дисфагия (затруднено преглъщане), а при някои се описва и болка в гръдната област.
Важна особеност е, че при много от лицата с Баретов хранопровод не се съобщава за предшестваща подлежаща гастроезофагеална рефлуксна болест, като при тях е налице тих рефлукс. По данни от статистически проучвания приблизително половината от лицата с Баретов хранопровод не съобщават за наличие на киселини или имат спорадични оплаквания.
Същинският Баретов хранопровод не провокира оплаквания, но може да се асоциира с някои от следните симптоми, които подсказват за наличието му:
- киселини: появата на киселини поне два пъти седмично с усещане за парене в областта на гърдите, киселинна регургитация, лош дъх, кисели оригвания, събуждане от сън във връзка с поява на киселини и други изисква консултация със специалист за уточняване на състоянието
- симптоми, асоциирани с наличие на киселини: при наличие на тих рефлукс може да липсват обективните усещания за киселини, но са налице допълнителни оплаквания, включително затруднено и/или болезнено преглъщане, усещане за буца в гърлото или усещане за наличие на заседнала храна в гърлото, постоянен лош дъх при липса на проблеми със зъбите, чести оплаквания от болки в гърлото, нежелана редукция на теглото и други
- симптоми, асоциирани с развитие на усложнения: препоръчва се своевременна консултация със специалист при поява на силна гръдна болка, имитираща сърдечен пристъп или инфаркт, затруднено преглъщане на течности, повръщане на кръв или черна материя, наподобяваща утайка от кафе, кървави изпражнения, значителна и бърза редукция на теглото

Баретовият хранопровод се счита за преканцероза, което означава, че при липса на лечение състоянието крие риск от превръщане в карцином на хранопровода, който от своя страна е със значително неблагоприятна прогноза и висока смъртност.
Значителен процент от пациентите с Баретов хранопровод не развиват карцином и други усложнения, за което допринася своевременната диагностика и активна терапия.
Диагноза при хранопровод на Барет
Поставянето на диагнозата при Баретов хранопровод често се основава на анализа на информацията, получена от следните диагностични методи:
- разпит и преглед: обръща се внимание на наличието на позитивна фамилна анамнеза, диагностицирана подлежаща гастроезофагеална рефлуксна болест, вредни навици, злоупотреба с лекарства и други
- лабораторни изследвания: липсват промени при стандартните лабораторни изследвания, като са възможни отклонения в някои показатели при развитие на усложнения
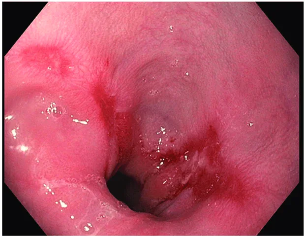
- ендоскопия: с високо информативно значение са резултатите от ендоскопското изследване (горна ендоскопия), при което се визуализират промените по хода на лигавицата на хранопровода
- биопсия: с най-висока диагностична стойност е извършването на биопсия в хода на ендоскопското изследване, като резултатите позволяват определяне на тежестта на процеса и определяне степента на промените в тъканите
- стадиране: наличието на Баретов хранопровод без предракови промени в клетките се означава с липса на дисплазия. При ниска степен на дисплазия се откриват малки признаци на предракови промени в клетките, а при високостепенна дисплазия клетките показват значителни промени. Счита се, че високостепенната дисплазия предшества малигнизацията
При рискови пациенти, както и при лица с потвърден Баретов хранопровод, се препоръчва регулярни профилактични изследвания за оценка на състоянието и наличието на промени в клетките.

Изображение: researchgate.net/Creative Commons Attribution 4.0 International
Лечение при Баретов хранопровод
Терапевтичният подход се определя в зависимост от тежестта на болестните промени. Така например при липса на дисплазия се препоръчва контрол и лечение на подлежащите заболявания, включително гастроезофагеална рефлуксна болест, ограничаване на вредните навици и регулярни профилактични изследвания.
При установяване на нискостепенна или високостепенна дисплазия обикновено се налага по-агресивен терапевтичен подход, като се използват някои от следните методи:
- ендоскопска резекция: с подходяща апаратура се отстраняват увредените клетки, като методът е особено препоръчителен при нискостепенната дисплазия
- криотерапия: методът се основава на действието на ниските температури за унищожаване на клетките с предракови промени
- радиочестотна аблация: използва се топлина за отстраняване на анормалните тъкани по хода на хранопровода, като процедурата често се прилага след ендоскопска резекция за постигане на оптимални резултати
- езофагектомия: при високостепенна дисплазия, липса на ефект от другите терапевтични мерки, както и по преценка на лекуващия лекар с цел превенция на малигнизирането може да се наложи езофагектомия, при която се отстраняват части или целия хранопровод
- други: фундопликация по Нисен, техники за подсилване на долния езофагеален сфинктер и много други методи могат да се използват в комплексното лечение на Баретовия хранопровод
Всички пациенти подлежат на регулярни профилактични изследвания с извършване на ендоскопия с биопсия през определен интервал от време.
Хранене и диета при Баретов хранопровод
При пациенти с хранопровод на Барет без дисплазия или с нискостепенна дисплазия допълнително към конвенционалното лечение могат да се назначат някои промени в храненето и диета. Препоръчва се:
- ограничаване на вредните навици: редица вредни навици могат да влошат протичането на състоянието, поради което се препоръчва тяхното преустановяване. Такива са употреба на алкохол, тютюнопушене, чест прием на обезболяващи
- добра хигиена на хранене: препоръчва се избягване на продължителни периоди на гладуване, преяждане, лягане скоро след прием на храна. За намаляване риска от поява на киселини се препоръчва използване на по-висока възглавница за повдигане на горната част на тялото по време на сън
- избягване на дразнещи храни и напитки: храни, богати на трансмазнини, люти и пикантни храни и напитки, шоколад, кофеин, газирани напитки, силно преработени храни могат да благоприятстват появата на киселини и съответно да влошат протичането на болестта, поради което следва да се избягват
Прогнозата при Баретов хранопровод зависи до голяма степен от ранната диагностика и своевременно лечение. Приблизително между 5 до 7 от хиляда души с болестта развиват нейното най-тежко усложнение, а именно езофагеален аденокарцином, чиято смъртност се изчислява на около 85 процента.
Заглавно изображние: freepik.com/ ОА https://doi.org/10.1007/s00464-020-07950-5
Библиография
https://www.mayoclinic.org/diseases-conditions/barretts-esophagus/symptoms-causes/syc-20352841
https://my.clevelandclinic.org/health/diseases/14432-barretts-esophagus
https://www.webmd.com/heartburn-gerd/barretts-esophagus-symptom
https://www.hopkinsmedicine.org/health/conditions-and-diseases/barretts-esophagus
https://en.wikipedia.org/wiki/Barrett%27s_esophagus
https://www.niddk.nih.gov/health-information/digestive-diseases/barretts-esophagus#:~:text=Print%20All%20Sections-,Definition%20%26%20Facts,rare%20cancer%20called%20esophageal%20adenocarcinoma.
https://emedicine.medscape.com/article/171002-overview
https://www.healthline.com/health/barretts-esophagus
https://medlineplus.gov/ency/article/001143.htm
Коментари към Баретов хранопровод