Хордом
› Симптоми
› Лечение
› Прогноза
Въведение
Хордомът, познат и като хордома, представлява рядък злокачествен костен тумор, произхождащ от остатъци на нотохордата и засягащ предимно основата на черепа и гръбначния стълб. Заболяването се характеризира с бавен, но агресивен локален растеж, късна клинична изява и значителни затруднения в опитите за радикално лечение. Поради анатомичната си локализация хордомът често води до сериозни неврологични усложнения и висок риск от рецидив. Диагнозата изисква образни и хистологични изследвания, а лечението налага назначаване на мултидисциплинарен подход.
Какво е хордом?
Хордомът представлява рядък, злокачествен тумор на костите, който произхожда от остатъци на нотохордата (ембрионална структура, участваща в изграждането на гръбначния стълб по време на вътреутробното развитие). При нормални условия нотохордата изчезва още в ранните етапи на ембриогенезата, но при някои хора нейни клетъчни остатъци персистират и именно от тях може да се развие хордом.
Туморът най-често засяга сакрококцигеалната област (около половината от случаите), основата на черепа, по-рядко шийния, гръдния или лумбалния отдел на гръбначния стълб.
Хордомът се характеризира с бавен, но инфилтративен растеж, като има склонност да разрушава околната костна тъкан и да ангажира близки нервни структури, кръвоносни съдове и меки тъкани. Макар да расте сравнително бавно, той се счита за агресивен тумор, поради високия риск от локални рецидиви след лечение.
Хордомът е изключително рядък и съставлява по-малко от пет процента от всички първични костни тумори, най-често се диагностицира при възрастни между 40 и 70 години, но може да се срещне и при по-млади пациенти.
Причини и рискови фактори
Точната причина за възникване на хордом все още не е напълно изяснена, което е характерно за повечето редки първични костни тумори. Счита се, че заболяването възниква в резултат на неопластична трансформация на остатъчни клетки от нотохордата, които поради неизвестни механизми запазват способността си за пролиферация и малигнена дегенерация.
Хордомът се среща най-често в средна и напреднала възраст, показва малко по-висока честота при мъжете, особено при сакрална локализация.
Към момента няма убедителни доказателства, че хордомът е свързан с фактори от околната среда, включително тютюнопушене, диета, професионална експозиция, предходна лъчетерапия, травми на гръбначния стълб.
Симптоми
Клиничната изява на хордома е силно зависима от локализацията на тумора, като в ранните стадии заболяването често протича с едва забележими оплаквания или напълно безсимптомно. Поради бавния си растеж хордомът може да остане неразпознат с години, докато достигне размери, при които започва да компресира нервни структури и околни тъкани.
Най-честият и водещ симптом при всички локализации е персистираща, прогресираща болка, която не се повлиява трайно от аналгетици и често се засилва нощем.
В зависимост от локализацията на процеса се описват някои разлики в клиничното протичане:
- симптоми при сакрококцигеален хордом: това е най-честата локализация и често води до тъпа, дълбока болка в кръста или седалището, болка при седене, излъчване на болката към долните крайници, различни неврологични нарушения (изтръпване, слабост, парестезии), нарушения в тазово-резервоарната функция (уринарна инконтиненция или задръжка, фекална инконтиненция, еректилна дисфункция)
- симптоми при хордом на основата на черепа: при тази локализация туморът засяга структури с изключително висока функционална значимост и протича със симптоми като персистиращо главоболие, двойно виждане (диплопия), нарушения в движенията на очите, дисфагия, дисфония, загуба на слуха, лицева болка или хипестезия, а в по-късни стадии се пяовяват и симптоми на повишено вътречерепно налягане
- симптоми при хордом на гръбначния стълб: при засягане на шийната, гръдната или лумбалната област могат да се наблюдават локална болка в съответния сегмент, мускулна слабост, сетивни нарушения, ограничение в подвижността и други
Симптомите се развиват бавно, често се интерпретират погрешно като дегенеративни, неврологични или проблеми по типа на дискова херния.
Усложнения
Усложненията при хордом са пряко свързани с локално инвазивния характер на тумора, анатомичната му локализация и трудностите при постигане на радикално лечение. Макар да метастазира сравнително рядко, хордомът може да доведе до тежки и трайни функционални увреждания, особено при късна диагноза или рецидив на заболяването:
- локални усложнения: поради инфилтративния си растеж хордомът често разрушава костната структура на прешлените или сакрума, инфилтрира околните меки тъкани, компресира или обхваща нервни корени, гръбначния мозък или черепномозъчни нерви с риск от развитие на хронична, инвалидизираща болка, прогресивни неврологични дефицити, парези или парализи, загуба на сетивност, нарушения в координацията и походката
- нарушения на тазовите функции: при сакрална локализация едни от най-тежките усложнения са уринарна и фекална инконтиненция, хронична задръжка на урина, сексуална дисфункция, значително влошено качество на живот и социална изолация
- усложнения, свързани с лечението: лечението на хордом често изисква агресивен подход, което крие допълнителни рискове, включително неврологични увреждания след обширни хирургични резекции, нестабилност на гръбначния стълб, инфекциозни усложнения, късни ефекти от лъчетерапията върху околните тъкани
Хордомът има висок риск от локален рецидив, дори след привидно радикално лечение, като рецидивите често са по-трудни за лечение, обикновено са свързани с по-агресивно протичане и значително влошават прогнозата.
Макар и рядко са възможни метастази в бял дроб, кости, черен дроб, лимфни възли.
Диагноза и изследвания
Диагностицирането на хордом често представлява предизвикателство поради неспецифичната клинична картина и ниската честота на заболяването. Диагностичният процес изисква комбинация от образни, хистологични и имунохистохимични изследвания:
- разпит и преглед: характерни оплаквания с неспецифичен характер, изясняване на наличие на други подлежащи заболявания
- лабораторни изследвания: изследването на кръв и урина не подпомага пряко поставянето на диагнозата, но може да улесни диференциалната диагноза
- образни изследвания: образните методи са водещи за първоначалното откриване и стадиране на тумора. Ядрено-магнитен резонанс се счита за златен стандарт за оценка на хордом, като позволява прецизна визуализация на размера и разпространението на тумора, наличие на инфилтрацията в меки тъкани, засягането на нервни структури и гръбначния мозък. Компютърната томография е особено полезна за оценка на костната деструкция, планиране на хирургичното лечение и разграничаване от други костни тумори

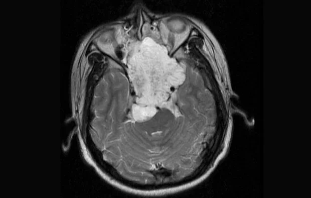
ЯМР на обширен хордом на кливуса при 17-годишен пациент, аксиален изглед. Туморът в назофаринкса, простиращ се от носната кухина до мозъчния ствол, е ясно видим. Изображение: Hassan S, Abdullah JM, Wan Din SJ, Idris Z , Лиценз CC BY 2.0, чрез Wikimedia Commons
- хистологично изследване: окончателната диагноза се поставя чрез биопсия и хистопатологичен анализ, а имунохистохимичният профил е от ключово значение за диференциалната диагноза.
Диференциалната диагноза налага разграничаване от хондросарком, метастатични костни лезии, гигантоклетъчен тумор, остеосарком и други.
Лечение
Лечението на хордом е изключително предизвикателно и изисква мултидисциплинарен подход, като основната цел е максимално радикално отстраняване на тумора при запазване на жизненоважните функции:
- хирургично лечение: хирургичната резекция е водещият терапевтичен метод и остава най-важният прогностичен фактор. Пълното отстраняване значително намалява риска от локален рецидив, но при много пациенти радикалната операция не е напълно осъществима поради близост до гръбначния мозък, ангажиране на черепномозъчни нерви, инвазия в големи кръвоносни съдове
- лъчетерапия: хордомът се счита за относително радиорезистентен, но въпреки това лъчетерапията има важно място като адювантно лечение след хирургия или като първично лечение, когато операцията е невъзможна
- медикаментозно лечение: класическата химиотерапия има ограничена ефективност при хордом и не е стандарт от първа линия. Могат да се използват различни таргетни терапии, лекарства, насочени към специфични молекулярни мишени. Тези подходи са с променлив ефект и обикновено се прилагат при нерезектабилен тумор, при рецидив или при метастази
Поради високия риск от рецидив е необходимо дългосрочно, често пожизнено проследяване, с периодични образни изследвания и внимателна оценка на неврологичния статус.
Прогноза
Прогнозата при хордом е вариабилна и зависи основно от локализацията, възможността за радикално хирургично лечение и наличието на рецидиви. При ранна диагноза и комбинирано лечение е възможно известно подобряване на преживяемостта, но заболяването изисква продължително проследяване.
Изображения: freepik.com
Библиография
https://my.clevelandclinic.org/health/diseases/17916-chordoma
https://radiopaedia.org/articles/chordoma
https://www.mayoclinic.org/diseases-conditions/chordoma/symptoms-causes/syc-20580258
https://www.hopkinsmedicine.org/health/conditions-and-diseases/chordoma
https://chordomafoundation.eu/?gad_source=1&gad_campaignid=22488761413&gbraid=0AAAAAq0Xy2-D48pWUpVZzNvMNcsbkEtBe&gclid=CjwKCAiAybfLBhAjEiwAI0mB
https://www.chordomafoundation.org/understanding-chordoma/?gad_source=1&gad_campaignid=55683875&gbraid=0AAAAAD5esgHY1qaqaQ3VInX6uNxyiyGKm&gclid=CjwKCAiAybfLBhAjEiwAI0mBBlyj9h6pLYGcsrMdoythYnfee32DzpNAbvBpzp-q5JAQ4W6IlWzn4xoC5acQAvD_BwE
https://en.wikipedia.org/wiki/Chordoma
Коментари към Хордом