Хамартом
› Разлика между хамартом и неоплазма
› Симптоми
› Диагноза
› Лечение
Хамартомите представляват доброкачествени новообразувания, които се образуват от свръхрастеж на множество аберантни клетки, които са в резултат на някакво системно генетично заболяване, а не на растеж, произлизащ от една мутирала клетка. Хамартомите по дефиниция са бавнорастящи и самоограничаващи се.
Въведение
Хамартомът е най-вече доброкачествена маса от дезорганизирана тъкан, локализирана в определено анатомично място. Повечето хамартоми обикновено са доброкачествени, но може да възникне и злокачествена трансформация. Хамартомите могат да растат почти навсякъде по тялото и обикновено се намират в белите дробове, хипоталамуса, гърдата, дебелото черво и др.
Повечето случаи са асимптоматични и се откриват случайно при образно изследване по повод на други заболявания или оплаквания. Хамартомите могат да се появят чрез различни механизми като инфекция, инфаркт, кръвоизлив, фрактура или неопластична трансформация.
Честота и причини
Хамартомите се причиняват от анормално образуване в нормалната тъкан и могат да възникнат спонтанно или в резултат на друго основно заболяване. Хамартомите най-вероятно са резултат от грешка в развитието и могат да се проявят на множество мета. Развитието на хамартоми е свързано и с определени гени като SMAD4, PTEN, STK1.
Нарушенията, свързани с хамартоми, включват:
Разлика между хамартом и неоплазма
Както хамартомите, така и неоплазмите са свръхрастеж на тъкан. Неоплазмите (туморите) се появяват, когато анормални клетки образуват маса в тялото ви. Туморите могат да бъдат доброкачествени (не ракови) или ракови. Но хамартомите са изградени от нормални клетки и тъкани, които са местни за частта от тялото ви, където започват. Клетките и тъканите просто растат заедно по странен начин.
Подобно на доброкачествените тумори, хамартомите са склонни да растат бавно. Те не се разпространяват в тялото ви, както понякога се случва с раковите тумори.
Патофизиология

Изображение: freepik.com
Хамартомите са основно съставени от нарушени репликации на нормални тъканни клетки. Основните механизми на аномалните репликации не са напълно разбрани. Образуванието представлява ограничена маса, съдържаща главни мазнини и хрущялна тъкан, но могат да присъстват и други тъканни клетки в зависимост от анатомичното местоположение. Размерът на повечето хамартоми е между 1 и 3 см. Хамартомите обикновено не са капсулирани и имат множество лобове, разделени от прегради.
Симптоми
Повечето хамартоми не причиняват симптоми, освен ако не нараснат толкова големи, че да засегнат близките тъкани. Ако има налична симптоматика, тя обикновено е свързана със засягането на околни структури около локализацията на хамартома.
Въпреки че хамартомите обикновено са асимптоматични, пълната фамилна и клинична история може да помогне за определяне на прогнозата. Необходима е и специфична за свързаното състояние история на заболяването. Чести симптоми и физически находки, свързани с мястото на произход, са следните:
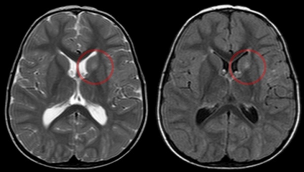
- Хипоталамус - гърчове, променено психическо състояние, промени в зрението, ранно начало на пубархе, промени в поведението
- Бял дроб - хронична кашлица, хемоптиза, треска, дихателни шумове като груби пукания при вдишване, обструктивни симптоми
- Сърце - болка в гърдите, палпитации, оток, диспнея, цианоза, хладна и лепкава кожа, шум, аритмия
Други по-рядко срещани симптоми и физически находки, засягащи бъбреците, далака и други органи, включват болка в хълбока, коремна болка, повтарящи се инфекции, треска, нощно изпотяване, палпируема коремна маса, увеличен размер на тестисите и увеличен размер на гърдите.
Диагноза
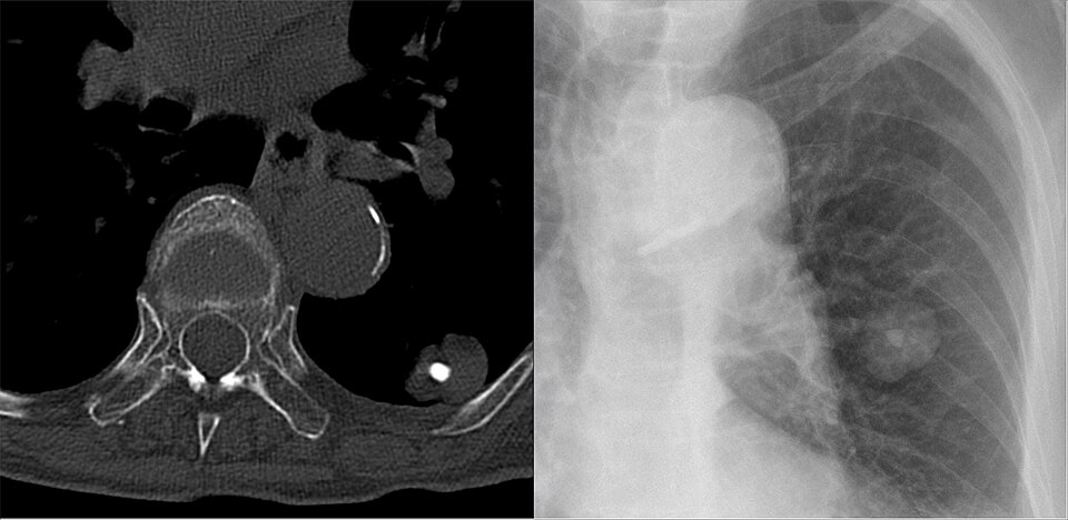
Лекарите често откриват хамартоми по време на образна диагностика поради други оплаквания от друго заболяване. Пациентите обикновено се нуждаят от допълнителни образни изследвания, за да потвърдят диагнозата.

Изображение: Hellerhoff, CC BY-SA 4.0, via Wikimedia Commons
Образните изследвания, от които може да се нуждаят пациентите, включват:
За потвърждаване понякога може да се наложи извършването на биопсия, ако лекарят не е сигурен, че образуванието не е злокачествено. Отстранява се част от тъканта, която се изпраща в лаборатория за хистологичен анализ.
Лечение
Повечето пациенти с доказани хамартоми не се нуждаят от лечение, освен ако хамартомът не причинява симптоми. Ако причинява симптоми, то формацията трябва да бъде отстранена в здраво.
Понякога операцията е твърде рискована, защото хамартомът е локализиран до жизненоважна структура. Например, някои мозъчни хамартоми растат близо до нерва, който свързва очите с главния мозък. Хирургичното лечение може да доведе до увреждане на нерва. При такъв случай може да се предложат алтернативни варианти:
- Аблационна терапия - лечение, което използва екстремна топлина за унищожаване на тъканта
- Радиохирургия - форма на лъчетерапия, която елиминира тъканта с голяма прецизност
Усложнения и прогноза
Хамартомите, макар и доброкачествени, могат да причинят проблеми поради локализацията си. Например, когато са разположени върху кожата, особено на лицето или шията, те могат да бъдат много обезобразяващи. Понякога размерите могат да достигнат десетки сантиметри. Те могат да запушат практически всеки орган в тялото, като дебелото черво, окото и др.
Особено вероятно е да причинят сериозни здравословни проблеми, когато са разположени в хипоталамуса, бъбреците, устните или далака. Те могат да бъдат отстранени хирургично, ако е необходимо, и е малко вероятно да се появят отново. Прогнозата зависи от локализацията и размера на лезията, както и от цялостното здравословно състояние на пациента.
Заглавно изображение: Hellerhoff, CC BY-SA 3.0, via Wikimedia Commons
Библиография
https://en.wikipedia.org/wiki/Hamartoma
https://my.clevelandclinic.org/health/diseases/24652-hamartoma
https://www.ncbi.nlm.nih.gov/books/NBK562298/
https://www.healthline.com/health/hamartoma
Коментари към Хамартом